• Tel: 858.663.9055
  • SeparatorEmail: info@nsjbio.com
  • Tel: 858.663.9055
  • Email: info@nsjbio.com
Home >> Antibodies >> PRRX1 Antibody

PRRX1 Antibody (R35183)

  Catalog No Formulation Size Price (USD)  
Image R35183-100UG 0.5 mg/ml in 1X TBS, pH7.3, with 0.5% BSA (US sourced) and 0.02% sodium azide 100 ug 475
Bulk quote request
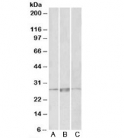
Western blot testing of human heart lysate with PRRX1 antibody at 1ug/ml. Predicted molecular weight: ~27kDa.
Availability 1-3 business days
Species Reactivity Human, Mouse, Rat
Format Antigen affinity purified
Host Goat
Clonality Polyclonal (goat origin)
Isotype Goat Ig
Purity Antigen affinity
Gene ID 5396
Applications Western Blot : 1-3ug/ml
ELISA (peptide) LOD : 1:2000
Limitations This PRRX1 antibody is available for research use only.
Review this product on BioCompare and get a $20 Amazon gift card

Related Products

  • Applications : WB, IHC-P, ELISA (peptide)
    Reactivity : Human
    Pred. Reactivity : Mouse

Description

Additional name(s) for this target protein: Paired related homeobox 1, PHOX1, PMX1

Application Notes

Optimal dilution of the PRRX1 antibody should be determined by the researcher.

Immunogen

Amino acids QADENVGEAGRS were used as the immunogen for this PRRX1 antibody.

Storage

Aliquot and store the PRRX1 antibody at -20oC.

Cross
Bulk Quote Request Form
Name*:
Organization*:
Email*:
Phone Number*:
Catalog No.*:
Comments and Specifics(amount, formulation, etc.)*:
Validation code: Captchapackage Image


Can't read the image? click here to refresh.
    *required field

Your bulk quote request has been submitted successfully!

Please contact us if you have any questions.