• Tel: 858.663.9055
  • SeparatorEmail: info@nsjbio.com
  • Tel: 858.663.9055
  • Email: info@nsjbio.com
Home >> Antibodies >> PRPH Antibody / Peripherin

PRPH Antibody / Peripherin [clone rPJM50] (V5991)

  Catalog No Formulation Size Price (USD)  
Image V5991-100UG 0.2 mg/ml in 1X PBS with 0.05% BSA, 0.05% sodium azide 100 ug 559
Image
V5991-20UG 0.2 mg/ml in 1X PBS with 0.05% BSA, 0.05% sodium azide 20 ug 259
Image
V5991SAF-100UG 1 mg/ml in 1X PBS; BSA free, sodium azide free 100 ug 559
Microvalidated Recmousemono
Bulk quote request
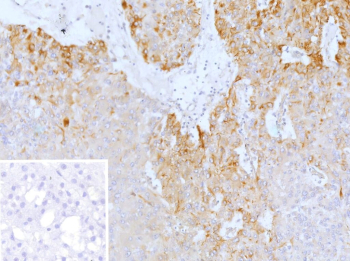
Immunohistochemistry analysis of PRPH/Peripherin antibody in human adrenal gland tissue. FFPE human adrenal sections show HRP-DAB brown cytoplasmic staining in neuronal elements and nerve fibers within the adrenal medulla, consistent with Peripherin expression in peripheral neuroendocrine-associated cells. Cortical cells demonstrate minimal to no staining. The inset negative control, in which PBS was used in place of primary antibody, shows no specific brown chromogenic signal. Heat induced epitope retrieval was performed in 10 mM Tris with 1 mM EDTA, pH 9.0, by heating at 95oC for 45 minutes followed by cooling at room temperature for 20 minutes.
SDS-PAGE Analysis of Purified PRPH/Peripherin antibody (r19H7). Confirmation of Purity and Integrity of Antibody.
Species Reactivity Human
Format Purified
Host Mouse
Clonality Recombinant Mouse Monoclonal
Isotype Mouse IgG2b, kappa
Clone Name rPJM50
UniProt P41219
Localization Axon, Cell projection, Cytoplasm
Applications Immunohistochemistry (FFPE) : 1-2ug/ml
Western Blot : 2-4ug/ml
Limitations This PRPH/Peripherin antibody is available for research use only.
Review this product on BioCompare and get a $20 Amazon gift card

Related Products

  • Applications : WB, ELISA (peptide)
    Reactivity : Mouse, Rat

Description

PRPH antibody, also known as Peripherin antibody, recognizes Peripherin, a type III intermediate filament protein encoded by the PRPH gene and primarily expressed in neurons of the peripheral nervous system. Peripherin is localized to the cytoplasm, where it assembles into intermediate filament networks that support neuronal structure and axonal integrity. PRPH expression is enriched in peripheral sensory and autonomic neurons and is also detected in certain central nervous system neurons during development and regeneration. As a neuronal cytoskeletal protein, Peripherin plays a critical role in maintaining axonal architecture and structural stability.

PRPH antibody detects a protein composed of a conserved alpha-helical rod domain flanked by non-helical head and tail domains, characteristic of intermediate filament family members. Peripherin can form homopolymers or heteropolymers with other neuronal intermediate filament proteins, including neurofilament light chain, contributing to regulation of axonal caliber and cytoskeletal organization. Expression of Peripherin is developmentally regulated and is often upregulated following neuronal injury, linking PRPH to nerve regeneration and repair processes.

Functionally, Peripherin is involved in neurite outgrowth, axonal elongation, and cytoskeletal remodeling. It is widely used as a marker of peripheral nerve fibers in research applications and is particularly associated with small diameter sensory neurons. Altered PRPH expression or abnormal accumulation of Peripherin has been reported in neurodegenerative conditions, including models of amyotrophic lateral sclerosis, where cytoskeletal dysregulation may contribute to motor neuron pathology. These findings highlight the importance of Peripherin in neuronal maintenance and disease-associated structural changes.

The PRPH gene is located on chromosome 12 and is transcriptionally regulated during neuronal differentiation and stress responses. Because of its selective neuronal expression pattern and involvement in cytoskeletal dynamics, detection of PRPH protein provides insight into peripheral nerve biology, neuronal development, and regeneration mechanisms.

This recombinant monoclonal PRPH antibody (clone rPJM50) targets Peripherin protein in research applications. PRPH antibody supports investigation of neuronal cytoskeletal organization, axonal growth, injury response, and neurodegenerative disease models.

Application Notes

1. Optimal dilution of the PRPH/Peripherin antibody should be determined by the researcher.

2. This PRPH/Peripherin antibody is recombinantly produced by expression in CHO cells.

Immunogen

Prokaryotic recombinant protein corresponding to the full-length peripherin molecule was used as the immunogen for the PRPH/Peripherin antibody.

Storage

PRPH/Peripherin antibody with sodium azide - store at 2 to 8oC; antibody without sodium azide - store at -20 to -80oC.

Cross
Bulk Quote Request Form
Name*:
Organization*:
Email*:
Phone Number*:
Catalog No.*:
Comments and Specifics(amount, formulation, etc.)*:
Validation code: Captchapackage Image


Can't read the image? click here to refresh.
    *required field

Your bulk quote request has been submitted successfully!

Please contact us if you have any questions.