• Tel: 858.663.9055
  • SeparatorEmail: info@nsjbio.com
  • Tel: 858.663.9055
  • Email: info@nsjbio.com
Home >> Antibodies >> PRPF18 Antibody / Pre-mRNA-splicing factor 18

PRPF18 Antibody / Pre-mRNA-splicing factor 18 (RQ8001)

  Catalog No Formulation Size Price (USD)  
Image RQ8001 0.5mg/ml if reconstituted with 0.2ml sterile DI water 100 ug 449
Bulk quote request
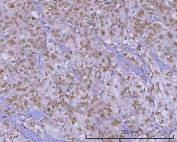
IHC staining of FFPE mouse testis tissue with PRPF18 antibody. HIER: boil tissue sections in pH8 EDTA for 20 min and allow to cool before testing.
IHC staining of FFPE rat testis tissue with PRPF18 antibody. HIER: boil tissue sections in pH8 EDTA for 20 min and allow to cool before testing.
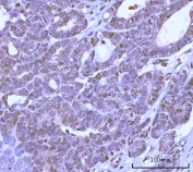
IHC staining of FFPE human urothelial carcinoma tissue with PRPF18 antibody. HIER: boil tissue sections in pH8 EDTA for 20 min and allow to cool before testing.
IHC staining of FFPE human ovary serous carcinoma tissue with PRPF18 antibody. HIER: boil tissue sections in pH8 EDTA for 20 min and allow to cool before testing.
Immunofluorescent staining of FFPE human A549 cells with PRPF18 antibody. HIER: steam section in pH6 citrate buffer for 20 min.
Western blot testing of 1) human SH-SY5Y, 2) rat brain, 3) rat PC-12 and 4) mouse brain tissue lysate with PRPF18 antibody. Predicted molecular weight ~40 kDa.
Flow cytometry testing of fixed and permeabilized human ThP-1 cells with PRPF18 antibody at 1ug/million cells (blocked with goat sera); Red=cells alone, Green=isotype control, Blue= PRPF18 antibody.
Flow cytometry testing of fixed and permeabilized human JK-1 cells with PRPF18 antibody at 1ug/million cells (blocked with goat sera); Red=cells alone, Green=isotype control, Blue= PRPF18 antibody.
Availability 1-3 business days
Species Reactivity Human, Mouse, Rat
Format Antigen affinity purified
Host Rabbit
Clonality Polyclonal (rabbit origin)
Isotype Rabbit IgG
Purity Antigen affinity purified
Buffer Lyophilized from 1X PBS with 2% Trehalose
UniProt Q99633
Localization Nuclear
Applications Western Blot : 0.5-1ug/ml
Immunohistochemistry (FFPE) : 2-5ug/ml
Immunofluorescence : 5ug/ml
Flow Cytometry : 1-3ug/million cells
Direct ELISA : 0.1-0.5ug/ml
Limitations This PRPF18 antibody is available for research use only.
Review this product on BioCompare and get a $20 Amazon gift card

Related Products

Description

Pre-mRNA splicing occurs in 2 sequential transesterification steps. The protein encoded by this gene is found to be essential for the catalytic step II in pre-mRNA splicing process. It is found in the spliceosome, and contains seven WD repeats, which function in protein-protein interactions. This protein has a sequence similarity to the yeast splicing factor Prp18.

Application Notes

Optimal dilution of the PRPF18 antibody should be determined by the researcher.

Immunogen

E. coli-derived recombinant human protein (amino acids E93-L342) was used as the immunogen for the PRPF18 antibody.

Storage

After reconstitution, the PRPF18 antibody can be stored for up to one month at 4oC. For long-term, aliquot and store at -20oC. Avoid repeated freezing and thawing.

Cross
Bulk Quote Request Form
Name*:
Organization*:
Email*:
Phone Number*:
Catalog No.*:
Comments and Specifics(amount, formulation, etc.)*:
Validation code: Captchapackage Image


Can't read the image? click here to refresh.
    *required field

Your bulk quote request has been submitted successfully!

Please contact us if you have any questions.