• Tel: 858.663.9055
  • SeparatorEmail: info@nsjbio.com
  • Tel: 858.663.9055
  • Email: info@nsjbio.com
Home >> Antibodies >> PRP19 Antibody / NMP200 / SNEV

PRP19 Antibody / NMP200 / SNEV (F54809)

  Catalog No Formulation Size Price (USD)  
Image F54809-0.4ML In 1X PBS, pH 7.4, with 0.09% sodium azide 0.4 ml 439
Image
F54809-0.08ML In 1X PBS, pH 7.4, with 0.09% sodium azide 0.08 ml 205
Bulk quote request
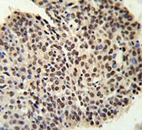
IHC testing of FFPE human lung carcinoma tissue with PRP19 antibody. HIER: steam section in pH6 citrate buffer for 20 min and allow to cool prior to staining.
Western blot testing of human MCF7 cell lysate with PRP19 antibody. Predicted molecular weight ~55 kDa.
Western blot testing of mouse brain tissue lysate with PRP19 antibody. Predicted molecular weight ~55 kDa.
Flow cytometry testing of human MCF7 cells with PRP19 antibody; Blue=isotype control, Green= PRP19 antibody.
Availability 1-3 business days
Species Reactivity Human, Mouse
Format Purified
Host Rabbit
Clonality Polyclonal (rabbit origin)
Isotype Rabbit Ig
Purity Antigen affinity purified
UniProt Q9UMS4
Localization Cytoplasmic, nuclear
Applications Flow Cytometry : 1:10-1:50 (1x10e6 cells)
Immunohistochemistry (FFPE) : 1:50-1:100
Western Blot : 1:500-1:1000
Limitations This PRP19 antibody is available for research use only.
Review this product on BioCompare and get a $20 Amazon gift card

Related Products

Description

PRPF19 is the human homolog of yeast Pso4, a gene essential for cell survival and DNA repair.

Application Notes

The stated application concentrations are suggested starting points. Titration of the PRP19 antibody may be required due to differences in protocols and secondary/substrate sensitivity.

Immunogen

A portion of amino acids 4-33 from the human protein was used as the immunogen for the PRP19 antibody.

Storage

Aliquot the PRP19 antibody and store frozen at -20oC or colder. Avoid repeated freeze-thaw cycles.

Cross
Bulk Quote Request Form
Name*:
Organization*:
Email*:
Phone Number*:
Catalog No.*:
Comments and Specifics(amount, formulation, etc.)*:
Validation code: Captchapackage Image


Can't read the image? click here to refresh.
    *required field

Your bulk quote request has been submitted successfully!

Please contact us if you have any questions.