• Tel: 858.663.9055
  • SeparatorEmail: info@nsjbio.com
  • Tel: 858.663.9055
  • Email: info@nsjbio.com
Home >> Antibodies >> Protocadherin 9 Antibody / PCDH9

Protocadherin 9 Antibody / PCDH9 (F54666)

  Catalog No Formulation Size Price (USD)  
Image F54666-0.4ML In 1X PBS, pH 7.4, with 0.09% sodium azide 0.4 ml 439
Image
F54666-0.08ML In 1X PBS, pH 7.4, with 0.09% sodium azide 0.08 ml 205
Bulk quote request
Western blot testing of human MDA-MB-435 cell lysate with Protocadherin 9 antibody. Expected molecular weight: 136-180 kDa.
Western blot testing of human 1) HEK293 and 2) U-87 MG cell lysate with Protocadherin 9 antibody. Expected molecular weight: 136-180 kDa.
IHC testing of FFPE human brain tissue with Protocadherin 9 antibody. HIER: steam section in pH9 EDTA for 20 min and allow to cool prior to staining.
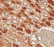
IHC testing of FFPE human kidney tissue with Protocadherin 9 antibody. HIER: steam section in pH9 EDTA for 20 min and allow to cool prior to staining.
Availability 1-3 business days
Species Reactivity Human
Format Purified
Host Rabbit
Clonality Polyclonal (rabbit origin)
Isotype Rabbit Ig
Purity Antigen affinity purified
UniProt Q9HC56
Applications Immunohistochemistry (FFPE) : 1:25
Western Blot : 1:500-1:2000
Limitations This Protocadherin 9 antibody is available for research use only.
Review this product on BioCompare and get a $20 Amazon gift card

Description

This gene belongs to the protocadherin gene family, a subfamily of the cadherin superfamily. The mRNA encodes a cadherin-related neuronal receptor that localizes to synaptic junctions and is putatively involved in specific neuronal connections and signal transduction. Sharing a characteristic with other protocadherin genes, this gene has a notably large exon that encodes six cadherin domains and a transmembrane region. Two alternatively spliced transcript variants encoding distinct isoforms have been found for this gene.

Application Notes

The stated application concentrations are suggested starting points. Titration of the Protocadherin 9 antibody may be required due to differences in protocols and secondary/substrate sensitivity.

Immunogen

A portion of amino acids 1018-1046 from the human protein was used as the immunogen for the Protocadherin 9 antibody.

Storage

Aliquot the Protocadherin 9 antibody and store frozen at -20oC or colder. Avoid repeated freeze-thaw cycles.

Cross
Bulk Quote Request Form
Name*:
Organization*:
Email*:
Phone Number*:
Catalog No.*:
Comments and Specifics(amount, formulation, etc.)*:
Validation code: Captchapackage Image


Can't read the image? click here to refresh.
    *required field

Your bulk quote request has been submitted successfully!

Please contact us if you have any questions.