• Tel: 858.663.9055
  • SeparatorEmail: info@nsjbio.com
  • Tel: 858.663.9055
  • Email: info@nsjbio.com
Home >> Antibodies >> Protocadherin 20 Antibody / PCDH20

Protocadherin 20 Antibody / PCDH20 (F54354)

  Catalog No Formulation Size Price (USD)  
Image F54354-0.4ML In 1X PBS, pH 7.4, with 0.09% sodium azide 0.4 ml 439
Image
F54354-0.08ML In 1X PBS, pH 7.4, with 0.09% sodium azide 0.08 ml 205
Bulk quote request
Western blot testing of human 1) SK-BR-3, 2) SH-SY5Y, 3) MCF7, 4) HL60 and 5) rat C6 cell lysate with Protocadherin 20 antibody. Predicted molecular weight ~105 kDa.
Western blot testing of human 1) SK-BR-3, 2) SH-SY5Y, 3) MCF7, 4) HL60 and 5) rat brain lysate with Protocadherin 20 antibody. Predicted molecular weight ~105 kDa.
Immunofluorescent staining of fixed and permeabilized human MCF7 cells with Protocadherin 20 antibody (green) and DAPI nuclear stain (blue).
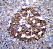
IHC testing of FFPE human pancreas tissue with Protocadherin 20 antibody. HIER: steam section in pH6 citrate buffer for 20 min and allow to cool prior to staining.
Flow cytometry testing of fixed and permeabilized human MCF7 cells with Protocadherin 20 antibody; Blue=isotype control, Green= Protocadherin 20 antibody.
Availability 1-3 business days
Species Reactivity Human, Rat
Format Purified
Host Rabbit
Clonality Polyclonal (rabbit origin)
Isotype Rabbit Ig
Purity Antigen affinity purified
UniProt Q8N6Y1
Applications Western Blot : 1:500-1:2000
Immunofluorescence : 1:25
Flow Cytometry : 1:25 (1x10e6 cells)
Immunohistochemistry (FFPE) : 1:25
Limitations This Protocadherin 20 antibody is available for research use only.
Review this product on BioCompare and get a $20 Amazon gift card

Description

This gene belongs to the protocadherin gene family, a subfamily of the cadherin superfamily. This gene encodes a protein which contains 6 extracellular cadherin domains, a transmembrane domain and a cytoplasmic tail differing from those of the classical cadherins. Although its specific function is undetermined, the cadherin-related neuronal receptor is thought to play a role in the establishment and function of specific cell-cell connections in the brain.

Application Notes

The stated application concentrations are suggested starting points. Titration of the Protocadherin 20 antibody may be required due to differences in protocols and secondary/substrate sensitivity.

Immunogen

A portion of amino acids 445-472 from the human protein was used as the immunogen for the Protocadherin 20 antibody.

Storage

Aliquot the Protocadherin 20 antibody and store frozen at -20oC or colder. Avoid repeated freeze-thaw cycles.

Cross
Bulk Quote Request Form
Name*:
Organization*:
Email*:
Phone Number*:
Catalog No.*:
Comments and Specifics(amount, formulation, etc.)*:
Validation code: Captchapackage Image


Can't read the image? click here to refresh.
    *required field

Your bulk quote request has been submitted successfully!

Please contact us if you have any questions.