• Tel: 858.663.9055
  • SeparatorEmail: info@nsjbio.com
  • Tel: 858.663.9055
  • Email: info@nsjbio.com
Home >> Antibodies >> Protein O-glucosyltransferase 3 Antibody / POGLUT3

Protein O-glucosyltransferase 3 Antibody / POGLUT3 (RQ7406)

  Catalog No Formulation Size Price (USD)  
Image RQ7406 0.5mg/ml if reconstituted with 0.2ml sterile DI water 100 ug 449
Bulk quote request
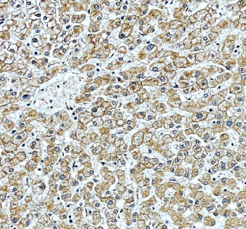
IHC staining of FFPE human liver tissue with Protein O-glucosyltransferase 3 antibody, HRP-secondary and DAB substrate. HIER: boil tissue sections in pH8 EDTA for 20 min and allow to cool before testing.
Immunofluorescent staining of FFPE human U-2 OS cells with Protein O-glucosyltransferase 3 antibody (green) and DAPI nuclear stain (blue). HIER: steam section in pH6 citrate buffer for 20 min.
Western blot testing of 1) human SiHa, 2) human Caco-2, 3) rat liver, 4) mouse liver and 5) mouse NIH 3T3 cell lysate with Protein O-glucosyltransferase 3 antibody. Predicted molecular weight ~59 kDa but may be observed at higher molecular weights due to glycosylation.
Flow cytometry testing of fixed and permeabilized human U-251 cells with Protein O-glucosyltransferase 3 antibody at 1ug/million cells (blocked with goat sera); Red=cells alone, Green=isotype control, Blue= Protein O-glucosyltransferase 3 antibody.
Availability 1-3 business days
Species Reactivity Human, Mouse, Rat
Format Antigen affinity purified
Host Rabbit
Clonality Polyclonal (rabbit origin)
Isotype Rabbit IgG
Purity Antigen affinity purified
Buffer Lyophilized from 1X PBS with 2% Trehalose
UniProt Q7Z4H8
Localization Nuclear, cytoplasmic
Applications Western Blot : 0.5-1ug/ml
Immunofluorescence : 5ug/ml
Flow Cytometry : 1-3ug/million cells
Direct ELISA : 0.1-0.5ug/ml
Immunohistochemistry (FFPE) : 2-5ug/ml
Limitations This Protein O-glucosyltransferase 3 antibody is available for research use only.
Review this product on BioCompare and get a $20 Amazon gift card

Description

Protein O-glucosyltransferase 3 (POGLUT3) is an enzyme that belongs to the glycosyltransferase family, specifically involved in the modification of epidermal growth factor-like (EGF-like) repeats on proteins. POGLUT3 catalyzes the transfer of glucose from UDP-glucose to specific serine residues within consensus sequences of EGF repeats. This post-translational modification plays a vital role in ensuring proper protein folding, stability, and trafficking. A Protein O-glucosyltransferase 3 antibody is commonly used to study glycosylation pathways, protein maturation, and quality control mechanisms.

POGLUT3 is localized in the endoplasmic reticulum, where it acts early in the secretory pathway. It is functionally similar to POGLUT1 and POGLUT2 but is believed to have distinct substrate specificities. This enzyme is essential for the biosynthesis and functional regulation of proteins involved in signaling pathways, including those in the Notch family. Using a Protein O-glucosyltransferase 3 antibody allows researchers to explore the impact of glycosylation on Notch signaling, developmental biology, and cellular communication.

Defects in glycosyltransferase activity, including enzymes like POGLUT3, can lead to impaired protein folding and abnormal signaling cascades, with potential implications in developmental disorders and disease. While POGLUT3-specific mutations have not been as well characterized as those in other glycosyltransferases, its critical role in glycoprotein maturation makes it an important target for research. Employing a Protein O-glucosyltransferase 3 antibody supports investigations into glycosylation-related processes and potential connections to pathology.

NSJ Bioreagents provides a high-quality Protein O-glucosyltransferase 3 antibody validated for applications such as western blot, immunohistochemistry, and immunofluorescence. Choosing a Protein O-glucosyltransferase 3 antibody from NSJ Bioreagents ensures accurate results and reproducibility in studies of glycosylation and protein modification.

Application Notes

Optimal dilution of the Protein O-glucosyltransferase 3 antibody should be determined by the researcher.

Immunogen

Recombinant human protein (amino acids R48-R499) was used as the immunogen for the Protein O-glucosyltransferase 3 antibody.

Storage

After reconstitution, the Protein O-glucosyltransferase 3 antibody can be stored for up to one month at 4oC. For long-term, aliquot and store at -20oC. Avoid repeated freezing and thawing.

Cross
Bulk Quote Request Form
Name*:
Organization*:
Email*:
Phone Number*:
Catalog No.*:
Comments and Specifics(amount, formulation, etc.)*:
Validation code: Captchapackage Image


Can't read the image? click here to refresh.
    *required field

Your bulk quote request has been submitted successfully!

Please contact us if you have any questions.