• Tel: 858.663.9055
  • SeparatorEmail: info@nsjbio.com
  • Tel: 858.663.9055
  • Email: info@nsjbio.com
Home >> Antibodies >> Proteasome subunit beta type-6 Antibody / PSMB6

Proteasome subunit beta type-6 Antibody / PSMB6 (RQ6512)

  Catalog No Formulation Size Price (USD)  
Image RQ6512 0.5mg/ml if reconstituted with 0.2ml sterile DI water 100 ug 449
Bulk quote request
Flow cytometry testing of human A431 cells with Proteasome subunit beta type-6 antibody at 1ug/million cells (blocked with goat sera); Red=cells alone, Green=isotype control, Blue= Proteasome subunit beta type-6 antibody.
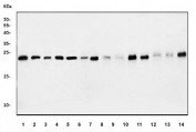
Western blot testing of 1) human Caco-2, 2) human HeLa, 3) monkey COS-7, 4) human A549, 5) human Jurkat, 6) human MCF7, 7) rat liver, 8) rat brain, 9) rat lung, 10) rat testis, 11) mouse liver, 12) mouse brain, 13) mouse lung and 14) mouse testis lysate with Proteasome subunit beta type-6 antibody. Predicted molecular weight ~23 kDa.
Availability 1-3 business days
Species Reactivity Human, Mouse, Rat, Monkey
Format Antigen affinity purified
Host Rabbit
Clonality Polyclonal (rabbit origin)
Isotype Rabbit IgG
Purity Affinity purified
Buffer Lyophilized from 1X PBS with 2% Trehalose
UniProt P28072
Applications Western Blot : 1-2ug/ml
Flow Cytometry : 1-3ug/million cells
Direct ELISA : 0.1-0.5ug/ml
Limitations This Proteasome subunit beta type-6 antibody is available for research use only.
Review this product on BioCompare and get a $20 Amazon gift card

Description

Proteasome subunit beta type-6 also known as 20S proteasome subunit beta-1 (based on systematic nomenclature) is a protein that in humans is encoded by the PSMB6 gene. The proteasome is a multicatalytic proteinase complex with a highly ordered ring-shaped 20S core structure. The core structure is composed of 4 rings of 28 non-identical subunits; 2 rings are composed of 7 alpha subunits and 2 rings are composed of 7 beta subunits. Proteasomes are distributed throughout eukaryotic cells at a high concentration and cleave peptides in an ATP/ubiquitin-dependent process in a non-lysosomal pathway. The encoded protein is a member of the proteasome B-type family, also known as the T1B family, and is a 20S core beta subunit in the proteasome. Alternatively spliced transcript variants encoding multiple isoforms have been observed for this gene.

Application Notes

Optimal dilution of the Proteasome subunit beta type-6 antibody should be determined by the researcher.

Immunogen

An E. coli-derived human protein (amino acids A50-D201) was used as the immunogen for the Proteasome subunit beta type-6 antibody.

Storage

After reconstitution, the Proteasome subunit beta type-6 antibody can be stored for up to one month at 4oC. For long-term, aliquot and store at -20oC. Avoid repeated freezing and thawing.

Cross
Bulk Quote Request Form
Name*:
Organization*:
Email*:
Phone Number*:
Catalog No.*:
Comments and Specifics(amount, formulation, etc.)*:
Validation code: Captchapackage Image


Can't read the image? click here to refresh.
    *required field

Your bulk quote request has been submitted successfully!

Please contact us if you have any questions.