• Tel: 858.663.9055
  • SeparatorEmail: info@nsjbio.com
  • Tel: 858.663.9055
  • Email: info@nsjbio.com
Home >> Antibodies >> Proteasome 20S beta 7 Antibody / PSMB7

Proteasome 20S beta 7 Antibody / PSMB7 (RQ7026)

  Catalog No Formulation Size Price (USD)  
Image RQ7026 0.5mg/ml if reconstituted with 0.2ml sterile DI water 100 ug 449
Bulk quote request
IHC staining of FFPE human ovarian serous adenocarcinoma tissue with Proteasome 20S beta 7 antibody. HIER: boil tissue sections in pH8 EDTA for 20 min and allow to cool before testing.
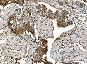
IHC staining of FFPE human invasive breast carcinoma tissue with Proteasome 20S beta 7 antibody. HIER: boil tissue sections in pH8 EDTA for 20 min and allow to cool before testing.
IHC staining of FFPE human cervical intraepithelial neoplasia tissue with Proteasome 20S beta 7 antibody. HIER: boil tissue sections in pH8 EDTA for 20 min and allow to cool before testing.
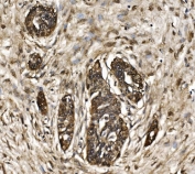
IHC staining of FFPE human renal clear cell carcinoma tissue with Proteasome 20S beta 7 antibody. HIER: boil tissue sections in pH8 EDTA for 20 min and allow to cool before testing.
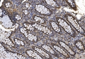
IHC staining of FFPE human colorectal cancer tissue with Proteasome 20S beta 7 antibody. HIER: boil tissue sections in pH8 EDTA for 20 min and allow to cool before testing.
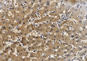
IHC staining of FFPE human liver cancer tissue with Proteasome 20S beta 7 antibody. HIER: boil tissue sections in pH8 EDTA for 20 min and allow to cool before testing.
IHC staining of FFPE mouse brain tissue with Proteasome 20S beta 7 antibody. HIER: boil tissue sections in pH8 EDTA for 20 min and allow to cool before testing.
IHC staining of FFPE rat brain tissue with Proteasome 20S beta 7 antibody. HIER: boil tissue sections in pH8 EDTA for 20 min and allow to cool before testing.
Immunofluorescent staining of FFPE human HeLa cells with Proteasome 20S beta 7 antibody (green) and DAPI nuclear stain (blue). HIER: steam section in pH6 citrate buffer for 20 min.
Western blot testing of human 1) HeLa, 2) PC-3, 3) MCF7, 4) Caco-2, 5) 293T, 6) HepG2, 7) HL60 and 8) A549 cell lysate with Proteasome 20S beta 7 antibody. Predicted molecular weight ~30 kDa.
Western blot testing of 1) rat brain, 2) rat liver, 3) rat kidney, 4) rat pancreas, 5) mouse brain, 6) mouse liver and 7) mouse kidney tissue cell lysate with Proteasome 20S beta 7 antibody. Predicted molecular weight ~30 kDa.
Flow cytometry testing of human U-87 MG cells with Proteasome 20S beta 7 antibody at 1ug/million cells (blocked with goat sera); Red=cells alone, Green=isotype control, Blue= Proteasome 20S beta 7 antibody.
Availability 1-3 business days
Species Reactivity Human, Mouse, Rat
Format Antigen affinity purified
Host Rabbit
Clonality Polyclonal (rabbit origin)
Isotype Rabbit IgG
Purity Antigen affinity purified
Buffer Lyophilized from 1X PBS with 2% Trehalose
UniProt Q99436
Localization Cytoplasmic, nuclear
Applications Western Blot : 0.5-1 ug/ml
Immunohistochemistry (FFPE) : 2-5ug/ml
Immunofluorescence : 5ug/ml
Flow Cytometry : 1-3ug/million cells
Direct ELISA : 0.1-0.5ug/ml
Limitations This Proteasome 20S beta 7 antibody is available for research use only.
Review this product on BioCompare and get a $20 Amazon gift card

Related Products

Description

Proteasome subunit beta type-7 as known as 20S proteasome subunit beta-2 is a protein that in humans is encoded by the PSMB7 gene. The proteasome is a multicatalytic proteinase complex with a highly ordered ring-shaped 20S core structure. The core structure is composed of 4 rings of 28 non-identical subunits; 2 rings are composed of 7 alpha subunits and 2 rings are composed of 7 beta subunits. Proteasomes are distributed throughout eukaryotic cells at a high concentration and cleave peptides in an ATP/ubiquitin-dependent process in a non-lysosomal pathway. The encoded protein is a member of the proteasome B-type family, also known as the T1B family, and is a 20S core beta subunit in the proteasome. Expression of this catalytic subunit is downregulated by gamma interferon, and proteolytic processing is required to generate a mature subunit. A pseudogene of this gene is located on the long arm of chromosome 14.

Application Notes

Optimal dilution of the Proteasome 20S beta 7 antibody should be determined by the researcher.

Immunogen

Recombinant human protein (amino acids D17-S277) was used as the immunogen for the Proteasome 20S beta 7 antibody.

Storage

After reconstitution, the Proteasome 20S beta 7 antibody can be stored for up to one month at 4oC. For long-term, aliquot and store at -20oC. Avoid repeated freezing and thawing.

Cross
Bulk Quote Request Form
Name*:
Organization*:
Email*:
Phone Number*:
Catalog No.*:
Comments and Specifics(amount, formulation, etc.)*:
Validation code: Captchapackage Image


Can't read the image? click here to refresh.
    *required field

Your bulk quote request has been submitted successfully!

Please contact us if you have any questions.