• Tel: 858.663.9055
  • SeparatorEmail: info@nsjbio.com
  • Tel: 858.663.9055
  • Email: info@nsjbio.com
Home >> Antibodies >> Prostein Antibody / Prostate Lineage Biomarker Antibody

Prostein Antibody / Prostate Lineage Biomarker Antibody [clone SLC45A3/7648] (V4774)

  Catalog No Formulation Size Price (USD)  
Image V4774-100UG 0.2 mg/ml in 1X PBS with 0.1 mg/ml BSA (US sourced), 0.05% sodium azide 100 ug 559
Image
V4774-20UG 0.2 mg/ml in 1X PBS with 0.1 mg/ml BSA (US sourced), 0.05% sodium azide 20 ug 259
Image
V4774SAF-100UG 1 mg/ml in 1X PBS; BSA free, sodium azide free 100 ug 559
Bulk quote request
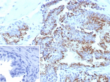
Prostein Antibody for IHC. Immunohistochemistry analysis of Prostein / SLC45A3 antibody staining in FFPE human prostate tissue using clone SLC45A3/7648. Strong cytoplasmic and perinuclear staining is observed in prostate glandular epithelial cells outlining luminal structures, consistent with Golgi-associated localization of Prostein, while surrounding stromal cells remain negative. The staining highlights prostate epithelial lineage and preserves glandular architecture, supporting the role of SLC45A3 as a prostate lineage biomarker. The inset shows a PBS negative control with no staining, confirming specificity of the signal. Heat-induced epitope retrieval was performed in pH 9 Tris-EDTA buffer for 20 minutes followed by cooling prior to antibody incubation.
SDS-PAGE analysis of purified, BSA-free Prostein antibody (clone SLC45A3/7648) as confirmation of integrity and purity.
Availability 1-3 business days
Species Reactivity Human
Format Purified
Host Mouse
Clonality Monoclonal (mouse origin)
Isotype Mouse IgG1, kappa
Clone Name SLC45A3/7648
Purity Protein A/G affinity
UniProt Q96JT2
Localization Membrane
Applications Immunohistochemistry (FFPE) : 1-2ug/ml for 30 min at RT
Limitations This Prostein antibody is available for research use only.
Review this product on BioCompare and get a $20 Amazon gift card

Related Products

Description

Solute carrier family 45 member 3 (SLC45A3), commonly known as Prostein, is a prostate-specific protein encoded by the SLC45A3 gene and localized to the Golgi apparatus of epithelial cells. Prostein Antibody is used to detect SLC45A3 as a prostate lineage biomarker, enabling identification of prostate-derived cells and tissues in complex biological samples and experimental systems.

Prostein antibody, also referred to as SLC45A3 antibody or prostate-specific androgen-regulated protein antibody, exhibits highly restricted expression in prostate epithelial cells with minimal detection in non-prostatic tissues. This tissue specificity provides a strong biological foundation for its use as a lineage marker, allowing researchers to distinguish prostate-derived epithelial cells from other tissue types, including morphologically similar glandular or epithelial structures.

The expression of SLC45A3 is closely associated with luminal epithelial cells of the prostate, which are responsible for secretory activity and glandular organization. Its presence reflects a differentiated epithelial phenotype and is maintained across normal prostate tissue and many prostate cancers. This persistence of expression supports its use in identifying prostate-derived tumor cells and in studying lineage relationships during tumor progression and cellular transformation.

As a lineage biomarker, SLC45A3 provides both tissue specificity and subcellular context through its localization to the Golgi apparatus. The characteristic perinuclear staining pattern associated with Golgi localization enhances confidence in identifying true-positive epithelial cells and helps distinguish specific staining from nonspecific background signal. This combination of spatial and tissue specificity strengthens its utility in histological and cell-based analyses.

In research applications, Prostein Antibody supports studies of tissue identity, epithelial differentiation, and lineage tracing. It can be used to evaluate the origin of cells in mixed populations, assess epithelial characteristics in experimental models, and investigate changes in lineage identity associated with disease processes. Its consistent expression profile and well-defined localization make it particularly valuable in studies where accurate identification of prostate-derived cells is essential.

Prostein Antibody clone SLC45A3/7648 enables reliable detection of prostate epithelial lineage across a range of biological contexts. Its combination of strong tissue restriction, association with differentiated epithelial cells, and defined intracellular localization makes it a robust tool for investigating prostate biology, tumor lineage, and epithelial cell identity in research settings.

Application Notes

Optimal dilution of the Prostein Antibody / Prostate Lineage Biomarker Antibody should be determined by the researcher.

Immunogen

Recombinant human SLC45A3 protein was used as the immunogen for the Prostein Antibody / Prostate Lineage Biomarker Antibody.

Storage

Aliquot the Prostein antibody and store frozen at -20oC or colder. Avoid repeated freeze-thaw cycles.

Alternate Names

SLC45A3 antibody, Prostein antibody, Prostate lineage marker antibody, SLC45A3 tissue marker antibody, Prostein epithelial lineage antibody

Cross
Bulk Quote Request Form
Name*:
Organization*:
Email*:
Phone Number*:
Catalog No.*:
Comments and Specifics(amount, formulation, etc.)*:
Validation code: Captchapackage Image


Can't read the image? click here to refresh.
    *required field

Your bulk quote request has been submitted successfully!

Please contact us if you have any questions.