• Tel: 858.663.9055
  • SeparatorEmail: info@nsjbio.com
  • Tel: 858.663.9055
  • Email: info@nsjbio.com
Home >> Antibodies >> Prostein Antibody / Golgi-Associated Secretory Protein Antibody

Prostein Antibody / Golgi-Associated Secretory Protein Antibody [clone SLC45A3/4965R] (V9159)

  Catalog No Formulation Size Price (USD)  
Image V9159-100UG 0.2 mg/ml in 1X PBS with 0.1 mg/ml BSA (US sourced), 0.05% sodium azide 100 ug 559
Image
V9159-20UG 0.2 mg/ml in 1X PBS with 0.1 mg/ml BSA (US sourced), 0.05% sodium azide 20 ug 259
Image
V9159SAF-100UG 1 mg/ml in 1X PBS; BSA free, sodium azide free 100 ug 559
Microvalidated Recrabbitmono
Bulk quote request
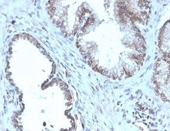
Prostein Antibody for IHC. Immunohistochemistry analysis of Prostein / SLC45A3 antibody staining in FFPE human prostate tissue using clone SLC45A3/4965R. Strong cytoplasmic and perinuclear staining is observed in prostate glandular epithelial cells outlining luminal structures, with a punctate distribution consistent with Golgi-associated localization of Prostein, while surrounding stromal cells remain negative. The staining highlights epithelial polarity and secretory compartment organization within prostate glands, supporting the role of SLC45A3 as a Golgi-associated protein in secretory epithelial cells. Heat-induced epitope retrieval was performed in pH 9 Tris-EDTA buffer for 20 minutes followed by cooling prior to antibody incubation.
Availability 1-3 business days
Species Reactivity Human
Format Purified
Host Rabbit
Clonality Recombinant Rabbit Monoclonal
Isotype Rabbit IgG, kappa
Clone Name SLC45A3/4965R
Purity Protein A/G affinity
UniProt Q96JT2
Localization Membrane, Vesicles, Nucleus
Applications Immunohistochemistry (FFPE) : 1-2ug/ml
Limitations This Prostein antibody is available for research use only.
Review this product on BioCompare and get a $20 Amazon gift card

Related Products

Description

Solute carrier family 45 member 3 (SLC45A3), commonly known as Prostein, is a prostate-specific protein encoded by the SLC45A3 gene and localized predominantly to the Golgi apparatus in secretory epithelial cells. Prostein Antibody is used to detect SLC45A3 as a Golgi-associated protein, enabling investigation of intracellular trafficking and secretory pathway organization in prostate tissue and epithelial cell systems.

Prostein antibody, also referred to as SLC45A3 antibody or prostate-specific androgen-regulated protein antibody, exhibits a characteristic perinuclear staining pattern that reflects its localization within the Golgi complex. This spatial distribution provides a clear indicator of Golgi-associated compartments and distinguishes Prostein from proteins with diffuse cytoplasmic or nuclear localization. Its defined intracellular positioning enhances its utility for studies focused on cellular organization and compartmentalization.

The SLC45A3 protein is a member of the solute carrier family and is believed to participate in intracellular transport processes linked to vesicular trafficking within the Golgi network. Although the precise substrates transported by SLC45A3 remain to be fully characterized, its localization suggests a role in protein sorting, processing, or vesicle-mediated transport pathways essential for secretory function in epithelial cells.

In prostate epithelial cells, which are highly specialized for secretion, proper Golgi function is critical for maintaining cellular polarity and protein export. The presence of SLC45A3 within this compartment highlights its potential contribution to secretory pathway efficiency and epithelial cell physiology. Alterations in Golgi structure and trafficking are known to occur in disease states, including cancer, where changes in protein processing and secretion can influence tumor behavior.

Recombinant Prostein Antibody clone SLC45A3/4965R enables detailed visualization of Golgi-associated structures and supports analysis of intracellular trafficking dynamics in prostate tissue. Its consistent perinuclear staining pattern and strong epithelial localization make it a valuable tool for investigating secretory pathway organization, Golgi morphology, and epithelial cell function in both normal and disease contexts.

Application Notes

Optimal dilution of the Prostein Antibody / Golgi-Associated Secretory Protein Antibody should be determined by the researcher.

Immunogen

The N-terminal region of human SLC45A3/Prostein protein was used as the immunogen for the Prostein Antibody / Golgi-Associated Secretory Protein Antibody.

Storage

Aliquot the Prostein antibody and store frozen at -20oC or colder. Avoid repeated freeze-thaw cycles.

Alternate Names

SLC45A3 antibody, Prostein antibody, Golgi-associated protein antibody, Prostein secretory pathway antibody, SLC45A3 Golgi marker antibody

Cross
Bulk Quote Request Form
Name*:
Organization*:
Email*:
Phone Number*:
Catalog No.*:
Comments and Specifics(amount, formulation, etc.)*:
Validation code: Captchapackage Image


Can't read the image? click here to refresh.
    *required field

Your bulk quote request has been submitted successfully!

Please contact us if you have any questions.