• Tel: 858.663.9055
  • SeparatorEmail: info@nsjbio.com
  • Tel: 858.663.9055
  • Email: info@nsjbio.com
Home >> Antibodies >> Prostein Antibody / Androgen-Regulated Protein Antibody

Prostein Antibody / Androgen-Regulated Protein Antibody [clone RM426] (R20440)

  Catalog No Formulation Size Price (USD)  
Image R20440-0.1ML Antibody in PBS with 50% glycerol, 1% BSA and 0.09% sodium azide 100 ul 439
Microvalidated Recrabbitmono
Bulk quote request
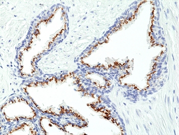
Prostein Antibody for IHC. Immunohistochemistry analysis of Prostein / SLC45A3 antibody staining in FFPE human prostate tissue. Strong cytoplasmic and perinuclear staining is observed in prostate glandular epithelial cells lining luminal structures, consistent with Golgi-associated localization of Prostein, while surrounding stromal cells remain negative. The staining highlights androgen-responsive epithelial cell populations and preserves glandular architecture, supporting the role of SLC45A3 as an androgen-regulated protein in prostate tissue. The antibody was applied at a dilution of 1:100 following heat-induced epitope retrieval in pH 9 Tris-EDTA buffer for 20 minutes and cooling prior to incubation.
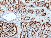
Prostein Antibody for IHC. Immunohistochemistry analysis of Prostein / SLC45A3 antibody staining in FFPE human prostate cancer tissue. Strong cytoplasmic and perinuclear staining is observed in tumor epithelial cells forming irregular glandular structures, consistent with Golgi-associated localization of Prostein, while surrounding stromal components remain largely negative. The staining highlights androgen-responsive tumor epithelial populations and supports retention of SLC45A3 expression in prostate-derived carcinoma. The antibody was applied at a dilution of 1:100 following heat-induced epitope retrieval in pH 9 Tris-EDTA buffer for 20 minutes and cooling prior to incubation.
Availability 1-3 business days
Species Reactivity Human
Format Purified
Host Rabbit
Clonality Recombinant Rabbit Monoclonal
Isotype Rabbit IgG
Clone Name RM426
Purity Protein A purified from animal origin-free supernatant
UniProt Q96JT2
Localization Membrane, Vesicles, Nucleus
Applications Immunohistochemistry (FFPE) : 1:50 -1:100
Limitations This recombinant Prostein antibody is available for research use only.
Review this product on BioCompare and get a $20 Amazon gift card

Related Products

Description

Solute carrier family 45 member 3 (SLC45A3), also known as Prostein, is a prostate-specific protein encoded by the SLC45A3 gene and localized to the Golgi apparatus of secretory epithelial cells. Prostein Antibody is used to detect SLC45A3 as an androgen-regulated protein, providing a valuable tool for studying androgen receptor-driven transcriptional programs that control prostate epithelial biology and differentiation.

Prostein antibody, also referred to as SLC45A3 antibody or prostate-specific androgen-regulated protein antibody, is directly regulated by androgen receptor signaling and is strongly induced following androgen stimulation. The SLC45A3 gene contains androgen-responsive elements that enable transcriptional activation by AR, placing it among key downstream targets of androgen signaling. As a result, its expression serves as a functional readout of AR pathway activity in prostate epithelial cells.

The androgen-dependent expression of SLC45A3 links it closely to prostate development, maintenance, and disease progression. In normal prostate tissue, androgen signaling supports epithelial differentiation and secretory function, and SLC45A3 expression reflects this differentiated cellular state. In experimental systems, modulation of androgen levels or AR activity can lead to corresponding changes in SLC45A3 expression, making it a useful marker for assessing hormone responsiveness and transcriptional regulation.

At the cellular level, SLC45A3 localizes to the Golgi apparatus, where it participates in intracellular trafficking processes associated with protein sorting and secretion. This localization supports the secretory phenotype of prostate epithelial cells and aligns with the broader role of androgen signaling in promoting secretory function. The combination of hormone responsiveness and defined subcellular localization provides a biologically meaningful framework for interpreting SLC45A3 expression patterns.

In prostate cancer research, SLC45A3 expression is frequently retained in androgen-responsive tumors, reflecting continued dependence on AR signaling pathways. Changes in its expression may provide insight into alterations in androgen signaling, including responses to therapeutic interventions or progression to hormone-independent states. Its association with AR-driven biology makes Prostein Antibody particularly useful for studies focused on endocrine regulation and signaling pathway dynamics.

Recombinant Prostein Antibody clone RM426 enables detection of androgen-regulated protein expression across prostate tissues, cell lines, and disease models. Its strong linkage to AR signaling, combined with prostate-restricted expression and Golgi localization, makes it a powerful tool for investigating hormone-driven transcriptional programs, epithelial differentiation, and the molecular mechanisms underlying prostate biology.

Application Notes

The stated application concentrations are suggested starting points. Titration of the Prostein Antibody / Androgen-Regulated Protein Antibody may be required due to differences in protocols and secondary/substrate sensitivity.

Immunogen

A peptide corresponding to the C-terminus of human Prostein was used as the immunogen for the Prostein Antibody / Androgen-Regulated Protein Antibody.

Storage

Store the recombinant Prostein antibody at -20oC.

Alternate Names

SLC45A3 antibody, Prostein antibody, Androgen-regulated protein antibody, SLC45A3 AR target antibody, Prostein androgen response antibody

Cross
Bulk Quote Request Form
Name*:
Organization*:
Email*:
Phone Number*:
Catalog No.*:
Comments and Specifics(amount, formulation, etc.)*:
Validation code: Captchapackage Image


Can't read the image? click here to refresh.
    *required field

Your bulk quote request has been submitted successfully!

Please contact us if you have any questions.