• Tel: 858.663.9055
  • SeparatorEmail: info@nsjbio.com
  • Tel: 858.663.9055
  • Email: info@nsjbio.com
Home >> Antibodies >> Prostatic acid phosphatase Antibody / PAP / PSAP / ACP3

Prostatic acid phosphatase Antibody / PAP / PSAP / ACP3 [clone ACPP/4495R] (V5002)

  Catalog No Formulation Size Price (USD)  
Image V5002-100UG 0.2 mg/ml in 1X PBS with 0.1 mg/ml BSA (US sourced), 0.05% sodium azide 100 ug 559
Image
V5002-20UG 0.2 mg/ml in 1X PBS with 0.1 mg/ml BSA (US sourced), 0.05% sodium azide 20 ug 259
Image
V5002SAF-100UG 1 mg/ml in 1X PBS; BSA free, sodium azide free 100 ug 559
Microvalidated Recrabbitmono
Bulk quote request
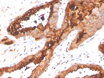
Prostatic acid phosphatase Antibody immunohistochemistry analysis of PAP / ACP3 in human prostate carcinoma tissue. FFPE human prostate carcinoma tissue was stained with Prostatic acid phosphatase Antibody (recombinant rabbit monoclonal, clone ACPP/4495R) following heat induced epitope retrieval by boiling tissue sections in pH 9 Tris-EDTA buffer (10mM Tris, 1mM EDTA) for 20 minutes prior to cooling and staining. HRP-DAB brown chromogenic signal highlights strong cytoplasmic and membranous staining of prostate tumor epithelial cells forming glandular carcinoma structures, consistent with the known localization of Prostatic acid phosphatase (ACP3 / PAP) in prostate-derived epithelial cells. Detection of PAP expression by immunohistochemistry is widely used in prostate cancer research to identify prostate epithelial lineage and evaluate Prostatic acid phosphatase expression in prostate carcinoma tissues.
IHC staining of FFPE human prostate carcinoma tissue with Prostatic acid phosphatase antibody (clone ACPP/4495R). HIER: boil tissue sections in pH 9 10mM Tris with 1mM EDTA for 20 min and allow to cool before testing.
Availability 1-3 business days
Species Reactivity Human
Format Purified
Host Rabbit
Clonality Recombinant Rabbit Monoclonal
Isotype Rabbit IgG, kappa
Clone Name ACPP/4495R
Purity Protein A/G affinity
UniProt P15309
Localization Cytoplasm
Applications Immunohistochemistry (FFPE) : 1-2ug/ml for 30 min at RT
Limitations This Prostatic acid phosphatase antibody is available for research use only.
Review this product on BioCompare and get a $20 Amazon gift card

Related Products

Description

Prostatic acid phosphatase (ACPP), commonly referred to as PAP or Acid phosphatase 3 (ACP3), is a secreted glycoprotein enzyme highly expressed in prostate epithelial cells. The enzyme belongs to the histidine acid phosphatase family and catalyzes the hydrolysis of phosphomonoesters under acidic conditions. PAP is produced primarily by prostate glandular epithelial cells and is secreted into seminal fluid, where it contributes to enzymatic activity within the prostate microenvironment. Prostatic acid phosphatase Antibody / PAP (clone ACPP/4495R) recognizes this prostate-associated enzyme and enables the detection of Prostatic acid phosphatase expression in prostate-derived tissues and prostate cancer research models.

Prostatic acid phosphatase Antibody is widely used in research investigating prostate epithelial differentiation and prostate cancer biology. In tissue studies, PAP expression is typically localized to prostate glandular epithelial cells and prostate tumor cells. Immunohistochemical detection of Prostatic acid phosphatase often reveals cytoplasmic staining in prostate epithelial structures, reflecting the secretory function of this enzyme within prostate tissue. Because ACP3 expression is strongly associated with prostate epithelial lineage, antibodies directed against PAP are frequently used to evaluate prostate differentiation and identify prostate-derived tumor cells.

Historically, Prostatic acid phosphatase served as one of the earliest biomarkers used in prostate cancer studies prior to the widespread adoption of prostate-specific antigen testing. Although PSA later became the dominant clinical marker, PAP remains an important protein in prostate cancer research and prostate epithelial biology. Analysis of Prostatic acid phosphatase expression provides insight into prostate epithelial differentiation and allows investigators to examine molecular characteristics of prostate tumor tissues.

Prostatic acid phosphatase Antibody (clone ACPP/4495R) is a recombinant rabbit monoclonal antibody developed to recognize PAP in prostate epithelial tissues and prostate cancer models. Antibodies targeting ACP3 are commonly used in studies of prostate gland biology, prostate tumor development, and prostate epithelial cell identity. Detection of PAP expression enables researchers to evaluate prostate lineage markers and examine prostate tumor characteristics in experimental systems.

Research using Prostatic acid phosphatase Antibody supports studies of prostate gland biology, prostate epithelial differentiation, and prostate cancer progression. Examination of ACP3 expression helps identify prostate-derived cells and contributes to understanding the molecular features of prostate tumors in laboratory research.

Application Notes

Optimal dilution of the Prostatic acid phosphatase antibody should be determined by the researcher.

Immunogen

A recombinant partial protein sequence (within amino acids 1-100) from the human protein was used as the immunogen for the Prostatic acid phosphatase antibody.

Storage

Aliquot the Prostatic acid phosphatase antibody and store frozen at -20oC or colder. Avoid repeated freeze-thaw cycles.

Alternate Names

ACP3 antibody, ACPP antibody, Prostate acid phosphatase antibody, PSAP antibody, Prostate specific acid phosphatase antibody

Cross
Bulk Quote Request Form
Name*:
Organization*:
Email*:
Phone Number*:
Catalog No.*:
Comments and Specifics(amount, formulation, etc.)*:
Validation code: Captchapackage Image


Can't read the image? click here to refresh.
    *required field

Your bulk quote request has been submitted successfully!

Please contact us if you have any questions.