• Tel: 858.663.9055
  • SeparatorEmail: info@nsjbio.com
  • Tel: 858.663.9055
  • Email: info@nsjbio.com
Home >> Antibodies >> Prostate Specific Antigen Antibody Recombinant MAb / PSA KLK3 Antibody

Prostate Specific Antigen Antibody Recombinant MAb / PSA KLK3 Antibody [clone rKLK3/6947] (V4646)

  Catalog No Formulation Size Price (USD)  
Image V4646-100UG 0.2 mg/ml in 1X PBS with 0.1 mg/ml BSA (US sourced), 0.05% sodium azide 100 ug 559
Image
V4646-20UG 0.2 mg/ml in 1X PBS with 0.1 mg/ml BSA (US sourced), 0.05% sodium azide 20 ug 259
Image
V4646SAF-100UG 1 mg/ml in 1X PBS; BSA free, sodium azide free 100 ug 559
Microvalidated Recmousemono
Bulk quote request
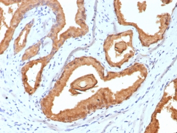
Prostate Specific Antigen Antibody Recombinant MAb clone rKLK3/6947 immunohistochemistry analysis of human prostate carcinoma tissue. Formalin-fixed paraffin-embedded human prostate carcinoma tissue stained with Prostate Specific Antigen Antibody Recombinant MAb (clone rKLK3/6947) shows HRP-DAB brown chromogenic staining in tumor epithelial cells forming glandular structures. Strong cytoplasmic staining highlights malignant prostate epithelial cells, with luminal accentuation reflecting the secretory localization of Prostate specific antigen (KLK3). Surrounding stromal cells are largely negative. Heat induced epitope retrieval was performed by boiling tissue sections in pH 9 10mM Tris with 1mM EDTA for 20 minutes followed by cooling prior to antibody incubation.
SDS-PAGE analysis of purified, BSA-free Prostate Specific Antigen antibody (clone rKLK3/6947) as confirmation of integrity and purity.
Availability 1-3 business days
Species Reactivity Human
Format Purified
Host Mouse
Clonality Recombinant Mouse Monoclonal
Isotype Mouse IgG1, kappa
Clone Name rKLK3/6947
Purity Protein A/G affinity
UniProt P07288
Localization Cytoplasm
Applications Immunohistochemistry (FFPE) : 1-2ug/ml for 30 min at RT
Limitations This Prostate Specific Antigen antibody is available for research use only.
Review this product on BioCompare and get a $20 Amazon gift card

Related Products

Description

Prostate specific antigen (KLK3) is a secreted serine protease encoded by the KLK3 gene and is a member of the kallikrein related peptidase family. The protein is widely known as Prostate specific antigen or PSA and is produced predominantly by luminal epithelial cells of the prostate gland. Prostate Specific Antigen Antibody Recombinant MAb (clone rKLK3/6947) recognizes PSA and enables detection of KLK3 expression in prostate tissues and prostate derived tumors in research applications examining prostate biology and cancer.

PSA functions as a chymotrypsin like protease that participates in the liquefaction of seminal coagulum following ejaculation. In the prostate gland, PSA is secreted into the luminal space of prostatic ducts and glands where it cleaves semenogelin and other seminal plasma proteins to maintain semen fluidity. The PSA protein is synthesized as a preproenzyme that undergoes signal peptide removal and proteolytic activation during secretion. Because PSA is produced almost exclusively by prostate epithelial cells, it is considered one of the most prostate specific proteins identified in human tissues.

In normal tissues, KLK3 expression is highly restricted to luminal epithelial cells lining prostatic glands. Within the prostate, PSA protein accumulates in the cytoplasm and luminal secretions of these epithelial cells. This tissue specificity has made PSA one of the most widely studied prostate associated proteins and an important marker for identifying prostate epithelial differentiation in biological research.

PSA expression is frequently retained in prostate adenocarcinoma and metastatic prostate cancer. Detection of KLK3 expression can therefore assist in studies investigating prostate tumor biology and the cellular origin of metastatic tumors. Evaluation of PSA expression patterns in prostate tumors and metastatic lesions provides insight into prostate cancer differentiation and tumor progression.

A recombinant monoclonal Prostate Specific Antigen antibody such as clone rKLK3/6947 provides a sensitive reagent for detecting PSA in research applications involving prostate tissue biology and tumor studies. Detection typically reveals cytoplasmic and luminal localization of PSA in prostate epithelial cells and prostate adenocarcinoma cells consistent with the secretory nature of the KLK3 protein.

Application Notes

Optimal dilution of the Prostate Specific Antigen Antibody Recombinant MAb clone rKLK3/6947 should be determined by the researcher.

Immunogen

A recombinant partial protein sequence (within amino acids 150-250) from the human protein was used as the immunogen for the Prostate Specific Antigen antibody.

Storage

Aliquot the Prostate Specific Antigen antibody and store frozen at -20oC or colder. Avoid repeated freeze-thaw cycles.

Alternate Names

PSA antibody, KLK3 antibody, Kallikrein related peptidase 3 antibody, Human prostate specific antigen antibody

Cross
Bulk Quote Request Form
Name*:
Organization*:
Email*:
Phone Number*:
Catalog No.*:
Comments and Specifics(amount, formulation, etc.)*:
Validation code: Captchapackage Image


Can't read the image? click here to refresh.
    *required field

Your bulk quote request has been submitted successfully!

Please contact us if you have any questions.