• Tel: 858.663.9055
  • SeparatorEmail: info@nsjbio.com
  • Tel: 858.663.9055
  • Email: info@nsjbio.com
Home >> Antibodies >> Prolyl-tRNA synthetase Antibody / ProRS

Prolyl-tRNA synthetase Antibody / ProRS (F54574)

  Catalog No Formulation Size Price (USD)  
Image F54574-0.4ML In 1X PBS, pH 7.4, with 0.09% sodium azide 0.4 ml 439
Image
F54574-0.08ML In 1X PBS, pH 7.4, with 0.09% sodium azide 0.08 ml 205
Bulk quote request
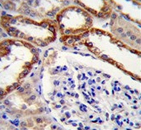
IHC testing of FFPE human kidney tissue with Prolyl-tRNA synthetase antibody. HIER: steam section in pH6 citrate buffer for 20 min and allow to cool prior to staining.
Western blot testing of 1) non-transfected and 2) transfected 293 cell lysate with Prolyl-tRNA synthetase antibody. Predicted molecular weight ~53 kDa.
Western blot testing of mouse bladder tissue lysate with Prolyl-tRNA synthetase antibody. Predicted molecular weight ~53 kDa.
Flow cytometry testing of human HEK293 cells with Prolyl-tRNA synthetase antibody; Blue=isotype control, Green= Prolyl-tRNA synthetase antibody.
Availability 1-3 business days
Species Reactivity Human, Mouse
Format Purified
Host Rabbit
Clonality Polyclonal (rabbit origin)
Isotype Rabbit Ig
Purity Purified
UniProt Q7L3T8
Localization Cytoplasmic
Applications Western Blot : 1:500-1:2000
Immunohistochemistry (FFPE) : 1:25
Flow Cytometry : 1:25 (1x10e6 cells)
Limitations This Prolyl-tRNA synthetase antibody is available for research use only.
Review this product on BioCompare and get a $20 Amazon gift card

Description

Forms part of a macromolecular complex that catalyzes the attachment of specific amino acids to cognate tRNAs during protein synthesis. Modulates the secretion of AIMP1 and may be involved in generation of the inflammatory cytokine EMAP2 from AIMP1.

Application Notes

The stated application concentrations are suggested starting points. Titration of the Prolyl-tRNA synthetase antibody may be required due to differences in protocols and secondary/substrate sensitivity.

Immunogen

A portion of amino acids 390-417 from the human protein was used as the immunogen for the Prolyl-tRNA synthetase antibody.

Storage

Aliquot the Prolyl-tRNA synthetase antibody and store frozen at -20oC or colder. Avoid repeated freeze-thaw cycles.

Cross
Bulk Quote Request Form
Name*:
Organization*:
Email*:
Phone Number*:
Catalog No.*:
Comments and Specifics(amount, formulation, etc.)*:
Validation code: Captchapackage Image


Can't read the image? click here to refresh.
    *required field

Your bulk quote request has been submitted successfully!

Please contact us if you have any questions.