• Tel: 858.663.9055
  • SeparatorEmail: info@nsjbio.com
  • Tel: 858.663.9055
  • Email: info@nsjbio.com
Home >> Antibodies >> Prohibitin Antibody / PHB

Prohibitin Antibody / PHB [clone PHB/3194] (V7596)

  Catalog No Formulation Size Price (USD)  
Image V7596-100UG 0.2 mg/ml in 1X PBS with 0.1 mg/ml BSA (US sourced) and 0.05% sodium azide 100 ug 559
Image
V7596-20UG 0.2 mg/ml in 1X PBS with 0.1 mg/ml BSA (US sourced) and 0.05% sodium azide 20 ug 259
Image
V7596SAF-100UG 1 mg/ml in 1X PBS; BSA free, sodium azide free 100 ug 559
Image
V7596IHC-7ML Prediluted in 1X PBS with 0.1 mg/ml BSA (US sourced) and 0.05% sodium azide; *For IHC use only* 7 ml 559
Microvalidated
Bulk quote request
Immunofluorescence analysis of Prohibitin in human HepG2 cells. Prohibitin/PHB antibody (green) staining shows punctate cytoplasmic signal consistent with mitochondrial localization, distributed throughout the cytoplasm and excluded from the nucleus, while nuclei are counterstained with Reddot nuclear stain (red). Cells were fixed and processed for immunofluorescence prior to incubation with Prohibitin antibody (clone PHB/3194) and appropriate fluorescent secondary antibody, followed by nuclear staining. Images were acquired using a fluorescence microscope with filter sets appropriate for the fluorophores used.
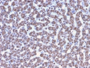
IHC testing of FFPE human liver tissue with Prohibitin antibody (clone PHB/3194). Required HIER: boil tissue sections in pH6, 10mM citrate buffer, for 10-20 min followed by cooling at RT for 20 min.
IHC testing of FFPE human liver tissue with Prohibitin antibody (clone PHB/3194). Required HIER: boil tissue sections in pH6, 10mM citrate buffer, for 10-20 min followed by cooling at RT for 20 min.
Analysis of HuProt(TM) microarray containing more than 19,000 full-length human proteins using Prohibitin antibody (clone PHB/3194). These results demonstrate the foremost specificity of the PHB/3194 mAb.
Z- and S- score: The Z-score represents the strength of a signal that an antibody (in combination with a fluorescently-tagged anti-IgG secondary Ab) produces when binding to a particular protein on the HuProt(TM) array. Z-scores are described in units of standard deviations (SD's) above the mean value of all signals generated on that array. If the targets on the HuProt(TM) are arranged in descending order of the Z-score, the S-score is the difference (also in units of SD's) between the Z-scores. The S-score therefore represents the relative target specificity of an Ab to its intended target.
SDS-PAGE analysis of purified, BSA-free Prohibitin antibody (clone PHB/3194) as confirmation of integrity and purity.
Western blot testing of human liver lysate with Prohibitin antibody (clone PHB/3194). Expected molecular weight ~30 kDa.
Availability 1-3 business days
Species Reactivity Human
Format Purified
Host Mouse
Clonality Monoclonal (mouse origin)
Isotype Mouse IgG2b, kappa
Clone Name PHB/3194
Purity Protein G affinity chromatography
UniProt P35232
Localization Cytoplasmic
Applications Western Blot : 1-2ug/ml
Immunofluorescence : 1-2ug/ml
Immunohistochemistry (FFPE) : 1-2ug/ml for 30 min at RT
Limitations This Prohibitin antibody is available for research use only.
Review this product on BioCompare and get a $20 Amazon gift card

Related Products

Description

Prohibitin/PHB antibody targets Prohibitin, a highly conserved protein that plays important roles in mitochondrial integrity, cellular signaling, and regulation of cell proliferation. Prohibitin is encoded by the PHB gene and is best known as a scaffold protein within the inner mitochondrial membrane, where it forms large ring-like complexes that contribute to maintenance of mitochondrial structure and stability. Through these complexes, Prohibitin supports proper organization of mitochondrial cristae and helps preserve mitochondrial function under both basal and stress conditions.

Prohibitin is also referred to in the literature as PHB and has been studied extensively for its multifunctional roles beyond mitochondria. While a substantial pool of Prohibitin localizes to mitochondria, additional populations have been reported in the cytoplasm and nucleus, where Prohibitin participates in regulation of transcription, signal transduction, and cell cycle control. These diverse localizations reflect the protein’s ability to interact with multiple signaling partners and regulatory complexes. Use of a Prohibitin antibody therefore supports investigation of both mitochondrial and extra-mitochondrial functions of Prohibitin in cell-based systems.

In mitochondrial biology, Prohibitin functions as a stabilizing factor for respiratory chain components and mitochondrial membrane proteins. Loss or dysregulation of PHB has been associated with altered mitochondrial morphology, impaired oxidative phosphorylation, and increased susceptibility to cellular stress. Because mitochondrial dysfunction is a hallmark of many diseases, Prohibitin has attracted attention in studies of neurodegeneration, metabolic disorders, and aging. Prohibitin antibody is frequently applied to examine changes in mitochondrial organization and stress responses linked to PHB expression.

Prohibitin also plays context-dependent roles in cancer biology. Depending on cell type and signaling environment, PHB has been reported to exhibit tumor suppressive or pro-survival functions through interactions with oncogenic signaling pathways and transcriptional regulators. These findings have made Prohibitin an important research target for understanding how mitochondrial signaling interfaces with nuclear control of cell growth and survival. Detection of Prohibitin expression provides insight into these regulatory networks across normal and disease-associated models.

Prohibitin antibody (clone PHB/3194) is designed to detect Prohibitin in research applications. Analysis of PHB expression and subcellular distribution enables investigation of mitochondrial structure, signaling pathways, and cellular stress responses. Overall, Prohibitin remains a widely studied protein linking mitochondrial function with broader cellular regulatory processes.

Application Notes

Optimal dilution of the Prohibitin antibody should be determined by the researcher.

1. The prediluted format is supplied in a dropper bottle and is optimized for use in IHC. After epitope retrieval step (if required), drip mAb solution onto the tissue section and incubate at RT for 30 min.

Immunogen

A recombinant human partial protein corresponding to amino acids 167-261 was used as the immunogen for the Prohibitin antibody.

Storage

Store the Prohibitin antibody at 2-8oC (with azide) or aliquot and store at -20oC or colder (without azide).

Cross
Bulk Quote Request Form
Name*:
Organization*:
Email*:
Phone Number*:
Catalog No.*:
Comments and Specifics(amount, formulation, etc.)*:
Validation code: Captchapackage Image


Can't read the image? click here to refresh.
    *required field

Your bulk quote request has been submitted successfully!

Please contact us if you have any questions.