• Tel: 858.663.9055
  • SeparatorEmail: info@nsjbio.com
  • Tel: 858.663.9055
  • Email: info@nsjbio.com
Home >> Antibodies >> Progesterone Receptor Antibody

Progesterone Receptor Antibody [clone PR501] (V2226)

  Catalog No Formulation Size Price (USD)  
Image V2226-100UG 0.2 mg/ml in 1X PBS with 0.1 mg/ml BSA (US sourced) and 0.05% sodium azide 100 ug 559
Image
V2226-20UG 0.2 mg/ml in 1X PBS with 0.1 mg/ml BSA (US sourced) and 0.05% sodium azide 20 ug 259
Image
V2226SAF-100UG 1 mg/ml in 1X PBS; BSA free, sodium azide free 100 ug 559
Bulk quote request
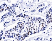
IHC testing of normal human breast stained with Progesterone receptor antibody (PR501).
IHC testing of invasive ductal carcinoma stained with progesterone receptor antibody (PR501).
SDS-PAGE Analysis of Purified, BSA-Free Progesterone Receptor Antibody (clone PR501). Confirmation of Integrity and Purity of the Antibody.
Species Reactivity Human
Format Purified
Host Mouse
Clonality Monoclonal (mouse origin)
Isotype Mouse IgG1, kappa
Clone Name PR501
Purity Protein G affinity chromatography
Buffer 1X PBS, pH 7.4
Gene ID 5241
Localization Nuclear, cytoplasmic
Applications Western Blot : 0.5-1ug/ml for 2 hr at RT
Immunohistochemistry (FFPE) : 0.5-1ug/ml
Limitations This Progesterone receptor antibody is available for research use only.
Review this product on BioCompare and get a $20 Amazon gift card

Related Products

Description

This antibody is specific to progesterone receptor and shows minimal cross-reaction with other members of the family. Progesterone receptor is expressed as two major isoforms, PR-A (81kDa) and PR-B (116kDa). Expression of progesterone receptor has been suggested to reflect a intact estrogen regulatory machinery and therefore predict better clinical response to endocrine therapy than ER alone.

Application Notes

The concentration stated for each application is a general starting point. Variations in protocols, secondaries and substrates may require the antibody to be titered up or down for optimal performance.

1. Staining of formalin-fixed tissues requires boiling tissue sections in 10mM citrate buffer, pH 6.0, for 10-20 min followed by cooling at RT for 20 minutes.

Immunogen

Recombinant human Progesterone Receptor protein was used as the immunogen for this antibody.

Storage

Store the Progesterone receptor antibody at 2-8oC (with azide) or aliquot and store at -20oC or colder (without azide).

Alternate Names

NR3C3, Nuclear receptor subfamily 3 group C member 3, PGR, PR, PRA, PRB, Progesterone receptor form A, Progesterone receptor form B, Progesterone receptor antibody

Cross
Bulk Quote Request Form
Name*:
Organization*:
Email*:
Phone Number*:
Catalog No.*:
Comments and Specifics(amount, formulation, etc.)*:
Validation code: Captchapackage Image


Can't read the image? click here to refresh.
    *required field

Your bulk quote request has been submitted successfully!

Please contact us if you have any questions.