- Tel: 858.663.9055
- 
									 Email: info@nsjbio.com Email: info@nsjbio.com
- Tel: 858.663.9055
- Email: info@nsjbio.com
 Email: info@nsjbio.com
Email: info@nsjbio.com
								Related Products
| 
 | 
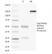
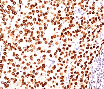
This antibody is specific to progesterone receptor and shows minimal cross-reaction with other members of the family. Progesterone receptor is expressed as two major isoforms, PR-A (81kDa) and PR-B (116kDa). Expression of progesterone receptor has been suggested to reflect a intact estrogen regulatory machinery and therefore predict better clinical response to endocrine therapy than ER alone. This progesterone receptor antibody is excellent for immunohistochemical staining of formalin/paraffin tissues.
The concentration stated for each application is a general starting point. Variations in protocols, secondaries and substrates may require the Progesterone Receptor antibody to be titered up or down for optimal performance.
1. Staining of formalin-fixed tissues requires boiling tissue sections in pH 9 10mM Tris with 1mM EDTA for 10-20 min followed by cooling at RT for 20 minutes.
2. The prediluted format is supplied in a dropper bottle and is optimized for use in IHC. After epitope retrieval step (if required), drip mAb solution onto the tissue section and incubate at RT for 30 min.
Recombinant human protein was used as the immunogen for this Progesterone Receptor antibody.
Store the Progesterone Receptor antibody at 2-8oC (with azide) or aliquot and store at -20oC or colder (without azide).
NR3C3, Nuclear receptr subfamily 3 group C member 3, PGR, PR, PRA, PRB, Progesterone receptor antibody
 
Your bulk quote request has been submitted successfully!
Please contact us if you have any questions.