• Tel: 858.663.9055
  • SeparatorEmail: info@nsjbio.com
  • Tel: 858.663.9055
  • Email: info@nsjbio.com
Home >> Antibodies >> Profilin 2 Antibody / PFN2

Profilin 2 Antibody / PFN2 (R31282)

  Catalog No Formulation Size Price (USD)  
Image R31282 0.5mg/ml if reconstituted with 0.2ml sterile DI water 100 ug 449
Bulk quote request
Immunofluorescent staining of FFPE human thyroid cancer tissue with Profilin 2 antibody (red) and DAPI nuclear stain (blue). HIER: steam section in pH8 EDTA buffer for 20 min.
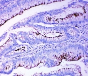
Immunohistochemical staining of FFPE human thyroid cancer tissue with Profilin 2 antibody, HRP-secondary and DAB substrate. HIER: boil tissue sections in pH8 EDTA for 20 min and allow to cool before testing.
Western blot testing of 1) human U-251, 2) human RT-4, 3) human SH-SY5Y, 4) rat brain, 5) rat skeletal muscle, 6) mouse brain and 7) mouse skeletal muscle tissue lysate with Profilin 2 antibody. Predicted molecular weight ~15 kDa.
Availability 1-3 business days
Species Reactivity Human, Mouse, Rat
Format Antigen affinity purified
Host Rabbit
Clonality Polyclonal (rabbit origin)
Isotype Rabbit IgG
Purity Antigen affinity
Buffer Lyophilized from 1X PBS with 2% Trehalose
UniProt P35080
Localization Cytoplasmic
Applications Western Blot : 0.5-1ug/ml
Immunohistochemistry (FFPE) : 2-5ug/ml
Immunofluorescence : 5ug/ml
Limitations This Profilin 2 antibody is available for research use only.
Review this product on BioCompare and get a $20 Amazon gift card

Related Products

Description

Profilin 2 antibody targets Profilin 2, encoded by the PFN2 gene. Profilin 2 is a small actin-binding protein that belongs to the profilin family, which plays a central role in regulating actin cytoskeleton dynamics. Profilins bind monomeric actin and control its availability for polymerization, thereby influencing filament assembly, turnover, and organization. Profilin 2 is primarily localized in the cytoplasm, where it associates with actin-rich structures and participates in processes requiring rapid cytoskeletal remodeling.

Functionally, Profilin 2 regulates actin polymerization by facilitating the exchange of ADP for ATP on actin monomers and delivering actin to growing filament ends in coordination with other actin-associated proteins. In addition to actin binding, Profilin 2 interacts with polyproline-rich motifs found in numerous signaling and cytoskeletal proteins, linking actin dynamics to intracellular signaling pathways. Through these interactions, Profilin 2 contributes to cell shape control, motility, vesicle trafficking, and synaptic function. A Profilin 2 antibody supports studies focused on cytoskeletal regulation and actin-dependent cellular processes.

PFN2 expression is particularly enriched in the nervous system, where Profilin 2 plays important roles in neuronal development, synaptic plasticity, and neurotransmission. It is highly expressed in neurons and has been associated with dendritic spine morphology and activity-dependent remodeling of synapses. Compared with other profilin family members, Profilin 2 shows a more restricted expression pattern, underscoring its specialized functions in neural tissues. Expression is also detectable in other cell types that require tightly regulated actin dynamics.

From a disease-relevance perspective, Profilin 2 has been implicated in neurological disorders and neurodevelopmental abnormalities. Altered PFN2 expression or function has been associated with changes in synaptic structure and neuronal connectivity, and dysregulation of actin dynamics involving Profilin 2 has been studied in the context of neurodegenerative disease and synaptic dysfunction. Profilin 2 has also been investigated in cancer and cell migration studies, where actin remodeling is a critical determinant of invasive behavior.

At the molecular level, Profilin 2 is a highly conserved protein that interacts with actin, phosphoinositides, and proline-rich ligands to coordinate cytoskeletal responses to upstream signals. Post-translational modifications and binding partner availability can influence Profilin 2 activity and its association with actin networks, resulting in variable electrophoretic behavior on SDS-PAGE. A Profilin 2 antibody supports research applications focused on actin cytoskeleton biology, neuronal function, and disease-associated alterations in cell structure and signaling, with NSJ Bioreagents providing reagents intended for research use.

Application Notes

The stated application concentrations are suggested starting amounts. Titration of the Profilin 2 antibody may be required due to differences in protocols and secondary/substrate sensitivity.

Immunogen

An amino acid sequence from the C-terminus of human PFN2 (NKKAYSMAKYLRDSGF) was used as the immunogen for this Profilin 2 antibody (100% homologous in human, mouse and rat).

Storage

After reconstitution, the Profilin 2 antibody can be stored for up to one month at 4oC. For long-term, aliquot and store at -20oC. Avoid repeated freezing and thawing.

Cross
Bulk Quote Request Form
Name*:
Organization*:
Email*:
Phone Number*:
Catalog No.*:
Comments and Specifics(amount, formulation, etc.)*:
Validation code: Captchapackage Image


Can't read the image? click here to refresh.
    *required field

Your bulk quote request has been submitted successfully!

Please contact us if you have any questions.