• Tel: 858.663.9055
  • SeparatorEmail: info@nsjbio.com
  • Tel: 858.663.9055
  • Email: info@nsjbio.com
Home >> Antibodies >> Pro-MCH Antibody / PMCH

Pro-MCH Antibody / PMCH (F54416)

  Catalog No Formulation Size Price (USD)  
Image F54416-0.4ML In 1X PBS, pH 7.4, with 0.09% sodium azide 0.4 ml 439
Image
F54416-0.08ML In 1X PBS, pH 7.4, with 0.09% sodium azide 0.08 ml 205
Bulk quote request
Western blot testing of mouse brain lysate with Pro-MCH antibody.
Western blot testing of human K562 cell lysate with Pro-MCH antibody.
Western blot testing of 1) non-transfected and 2) transfected 293 cell lysate with Pro-MCH antibody.
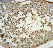
IHC testing of FFPE human testis tissue with Pro-MCH antibody. HIER: steam section in pH6 citrate buffer for 20 min and allow to cool prior to staining.
Flow cytometry testing of human K562 cells with Pro-MCH antibody; Blue=isotype control, Green= Pro-MCH antibody.
Availability 1-3 business days
Species Reactivity Human, Mouse
Format Purified
Host Rabbit
Clonality Polyclonal (rabbit origin)
Isotype Rabbit Ig
Purity Antigen affinity purified
UniProt P20382
Applications Western Blot : 1:500-1:2000
Flow Cytometry : 1:25 (1x10e6 cells)
Immunohistochemistry (FFPE) : 1:25
Limitations This Pro-MCH antibody is available for research use only.
Review this product on BioCompare and get a $20 Amazon gift card

Description

The melanin-concentrating hormone (MCH) is a cyclic neuropeptide isolated initially from salmon pituitary gland and later from rat hypothalamus (summarized by Nahon et al., 1992 [PubMed 1572663]). In mammals, MCH perikarya are confined largely to the lateral hypothalamus and zona incerta area with extensive neuronal projections throughout the brain, including the neurohypophysis. The anatomic distribution suggests a neurotransmitter or neuromodulator role for MCH in a broad array of neuronal functions directed toward the regulation of goal-directed behavior, such as food intake, and general arousal. MCH and 2 other putative neuropeptides, NEI and NGE, are encoded by the same precursor and appear colocalized in nerve cells and in many instances within the projections. The precursor is designated pro-melanin-concentrating hormone (PMCH).

Application Notes

The stated application concentrations are suggested starting points. Titration of the Pro-MCH antibody may be required due to differences in protocols and secondary/substrate sensitivity.

Immunogen

A portion of amino acids 94-122 from the human protein was used as the immunogen for the Pro-MCH antibody.

Storage

Aliquot the Pro-MCH antibody and store frozen at -20oC or colder. Avoid repeated freeze-thaw cycles.

Cross
Bulk Quote Request Form
Name*:
Organization*:
Email*:
Phone Number*:
Catalog No.*:
Comments and Specifics(amount, formulation, etc.)*:
Validation code: Captchapackage Image


Can't read the image? click here to refresh.
    *required field

Your bulk quote request has been submitted successfully!

Please contact us if you have any questions.