• Tel: 858.663.9055
  • SeparatorEmail: info@nsjbio.com
  • Tel: 858.663.9055
  • Email: info@nsjbio.com
Home >> Antibodies >> PRMT5 Antibody

PRMT5 Antibody (F43243)

  Catalog No Formulation Size Price (USD)  
Image F43243-0.4ML In 1X PBS, pH 7.4, with 0.09% sodium azide 0.4 ml 439
Image
F43243-0.08ML In 1X PBS, pH 7.4, with 0.09% sodium azide 0.08 ml 205
Bulk quote request
PRMT5 antibody western blot analysis in HL-60 lysate. Expected molecular weight ~72kDa.
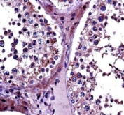
IHC testing of PRMT5 antibody and FFPE human testis tissue.
Availability 1-3 business days
Species Reactivity Human
Predicted Reactivity Bovine, Primate
Format Antigen affinity purified
Host Rabbit
Clonality Polyclonal (rabbit origin)
Isotype Rabbit Ig
Purity Antigen affinity
UniProt O14744
Applications Western Blot : 1:1000
IHC (Paraffin) : 1:10-1:50
Limitations This PRMT5 antibody is available for research use only.
Review this product on BioCompare and get a $20 Amazon gift card

Related Products

  • Applications : IHC-P, WB
    Reactivity : Human
    Rab Mono Image
  • Applications : WB, ELISA
    Reactivity : Human
    Pred. Reactivity : Mouse, Bovine, Primate, Xenopus
  • Applications : WB, IHC, ELISA
    Reactivity : Human
    Pred. Reactivity : Mouse, Bovine, Primate
  • Applications : IF, FACS, ELISA (peptide)
    Reactivity : Human
  • Applications : WB, FACS, Direct ELISA
    Reactivity : Human, Mouse, Rat
  • Applications : WB, IHC-P, Direct ELISA
    Reactivity : Human, Mouse, Rat

Description

Arginine methyltransferase that can both catalyze the formation of omega-N monomethylarginine (MMA) and symmetrical dimethylarginine (sDMA), with a preference for the formation of MMA. Specifically mediates the symmetrical dimethylation of arginine residues in the small nuclear ribonucleoproteins Sm D1 (SNRPD1) and Sm D3 (SNRPD3); such methylation being required for the assembly and biogenesis of snRNP core particles. Methylates SUPT5H. Mono-and dimethylates arginine residues of myelin basic protein (MBP) in vitro. Plays a role in the assembly of snRNP core particles. May play a role in cytokine-activated transduction pathways. Negatively regulates cyclin E1 promoter activity and cellular proliferation. May regulate the SUPT5H transcriptional elongation properties. May be part of a pathway that is connected to a chloride current, possibly through cytoskeletal rearrangement. Methylates histone H2A and H4 'Arg-3' during germ cell development. Methylates histone H3 'Arg-8', which may repress transcription. Methylates the Piwi proteins (PIWIL1, PIWIL2 and PIWIL4), methylation of Piwi proteins being required for the interaction with Tudor domain-containing proteins and subsequent localization to the meiotic nuage. Methylates RPS10.

Application Notes

Titration of the PRMT5 antibody may be required due to differences in protocols and secondary/substrate sensitivity.

Immunogen

A portion of amino acids 76-104 from the human protein was used as the immunogen for this PRMT5 antibody.

Storage

Aliquot the PRMT5 antibody and store frozen at -20oC or colder. Avoid repeated freeze-thaw cycles.

Cross
Bulk Quote Request Form
Name*:
Organization*:
Email*:
Phone Number*:
Catalog No.*:
Comments and Specifics(amount, formulation, etc.)*:
Validation code: Captchapackage Image


Can't read the image? click here to refresh.
    *required field

Your bulk quote request has been submitted successfully!

Please contact us if you have any questions.