• Tel: 858.663.9055
  • SeparatorEmail: info@nsjbio.com
  • Tel: 858.663.9055
  • Email: info@nsjbio.com
Home >> Antibodies >> PRMT5 Antibody

PRMT5 Antibody [clone DCE-16] (RQ4706)

  Catalog No Formulation Size Price (USD)  
Image RQ4706 Antibody in PBS with 0.02% sodium azide, 50% glycerol and 0.4-0.5mg/ml BSA 100 ul 449
Microvalidated Rab Mono Image
Bulk quote request
Western blot testing of human HeLa cell lysate with PRMT5 antibody. Expected molecular weight ~72 kDa.
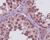
IHC staining of FFPE human testis tissue with PRMT5 antibody. HIER: boil tissue sections in pH6, 10mM citrate buffer, for 10-20 min and allow to cool before testing.
Availability 1-2 weeks
Species Reactivity Human
Format Purified
Host Rabbit
Clonality Rabbit Monoclonal
Isotype Rabbit IgG
Clone Name DCE-16
Purity Affinity purified
UniProt O14744
Applications Western Blot : 1:5000-1:10000
Immunohistochemistry (FFPE) : 1:50-1:200
Limitations This PRMT5 antibody is available for research use only.
Review this product on BioCompare and get a $20 Amazon gift card

Related Products

  • Applications : WB, ELISA
    Reactivity : Human
    Pred. Reactivity : Mouse, Bovine, Primate, Xenopus
  • Applications : WB, IHC, ELISA
    Reactivity : Human
    Pred. Reactivity : Mouse, Bovine, Primate
  • Applications : WB, IHC, ELISA
    Reactivity : Human
    Pred. Reactivity : Bovine, Primate
  • Applications : IF, FACS, ELISA (peptide)
    Reactivity : Human
  • Applications : WB, FACS, Direct ELISA
    Reactivity : Human, Mouse, Rat
  • Applications : WB, IHC-P, Direct ELISA
    Reactivity : Human, Mouse, Rat

Description

The PRMT5 gene encodes an enzyme that belongs to the methyltransferase family. Protein arginine methyltransferase 5 catalyzes the transfer of methyl groups to the amino acid arginine, in target proteins that include histones, transcriptional elongation factors and the tumor suppressor p53. This gene plays a role in several cellular processes, including transcriptional regulation, and the assembly of small nuclear ribonucleoproteins. [RefSeq]

Application Notes

Optimal dilution of the PRMT5 antibody should be determined by the researcher.

Immunogen

A synthetic peptide specific to human Protein arginine methyltransferase 5 was used as the immunogen for the PRMT5 antibody.

Storage

Store the PRMT5 antibody at -20oC.

Cross
Bulk Quote Request Form
Name*:
Organization*:
Email*:
Phone Number*:
Catalog No.*:
Comments and Specifics(amount, formulation, etc.)*:
Validation code: Captchapackage Image


Can't read the image? click here to refresh.
    *required field

Your bulk quote request has been submitted successfully!

Please contact us if you have any questions.