• Tel: 858.663.9055
  • SeparatorEmail: info@nsjbio.com
  • Tel: 858.663.9055
  • Email: info@nsjbio.com
Home >> Antibodies >> PRMT1 Antibody

PRMT1 Antibody (RQ5596)

  Catalog No Formulation Size Price (USD)  
Image RQ5596 0.5mg/ml if reconstituted with 0.2ml sterile DI water 100 ug 449
Bulk quote request
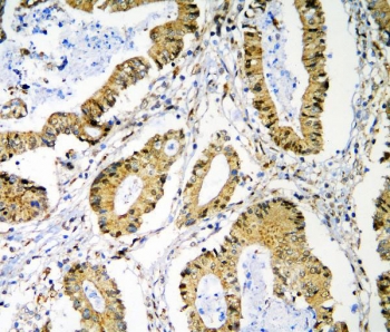
IHC staining of FFPE human rectal cancer with PRMT1 antibody. HIER: boil tissue sections in pH6, 10mM citrate buffer, for 20 min and allow to cool before testing.
Western blot testing of human 1) HEK293, 2) A549, 3) Caco-2, 4) PC-4, 5) K562 and 6) HeLa cell lysate with PRMT1 antibody. Expected molecular weight: 40-45 kDa.
Availability 1-3 business days
Species Reactivity Human
Format Antigen affinity purified
Host Rabbit
Clonality Polyclonal (rabbit origin)
Isotype Rabbit IgG
Purity Affinity purified
Buffer Lyophilized from 1X PBS with 2% Trehalose and 0.025% sodium azide
UniProt Q99873
Localization Nuclear, cytoplasmic
Applications Western Blot : 0.25-0.5ug/ml
Immunohistochemistry (FFPE) : 1-2ug/ml
Direct ELISA : 0.1-0.5ug/ml
Limitations This PRMT1 antibody is available for research use only.
Review this product on BioCompare and get a $20 Amazon gift card

Related Products

  • Applications : WB, IHC, ELISA
    Reactivity : Human
    Pred. Reactivity : Mouse, Rat
  • Applications : WB, IHC, ELISA
    Reactivity : Human, Mouse
    Pred. Reactivity : Rat
  • Applications : WB, IF, FACS, Direct ELISA
    Reactivity : Human, Mouse, Rat

Description

Protein arginine N-methyltransferase 1is an enzyme that in humans is encoded by the PRMT1 gene. It is mapped to 19q13.33. This gene encodes a member of the protein arginine N-methyltransferase (PRMT) family. Post-translational modification of target proteins by PRMTs plays an important regulatory role in many biological processes, whereby PRMTs methylate arginine residues by transferring methyl groups from S-adenosyl-L-methionine to terminal guanidino nitrogen atoms. The encoded protein is a type I PRMT and is responsible for the majority of cellular arginine methylation activity. Increased expression of this gene may play a role in many types of cancer. Alternatively spliced transcript variants encoding multiple isoforms have been observed for this gene, and a pseudogene of this gene is located on the long arm of chromosome 5.

Application Notes

Optimal dilution of the PRMT1 antibody should be determined by the researcher.

Immunogen

A human recombinant protein (amino acids M11-K145) was used as the immunogen for the PRMT1 antibody.

Storage

After reconstitution, the PRMT1 antibody can be stored for up to one month at 4oC. For long-term, aliquot and store at -20oC. Avoid repeated freezing and thawing.

Cross
Bulk Quote Request Form
Name*:
Organization*:
Email*:
Phone Number*:
Catalog No.*:
Comments and Specifics(amount, formulation, etc.)*:
Validation code: Captchapackage Image


Can't read the image? click here to refresh.
    *required field

Your bulk quote request has been submitted successfully!

Please contact us if you have any questions.