• Tel: 858.663.9055
  • SeparatorEmail: info@nsjbio.com
  • Tel: 858.663.9055
  • Email: info@nsjbio.com
Home >> Antibodies >> PRMT1 Antibody

PRMT1 Antibody (F40434)

  Catalog No Formulation Size Price (USD)  
Image F40434-0.4ML In 1X PBS, pH 7.4, with 0.09% sodium azide 0.4 ml 439
Image
F40434-0.08ML In 1X PBS, pH 7.4, with 0.09% sodium azide 0.08 ml 205
Bulk quote request
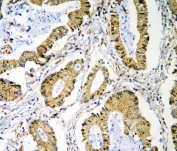
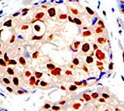
IHC analysis of FFPE human breast carcinoma tissue stained with the PRMT1 antibody
Western blot analysis of PRMT1 antibody and 293 cell lysate either nontransfected (Lane 1) or transiently transfected with the PRMT1 gene (2).
Availability 1-3 business days
Species Reactivity Human
Predicted Reactivity Mouse, Rat
Format Purified
Host Rabbit
Clonality Polyclonal (rabbit origin)
Isotype Rabbit Ig
Purity Purified
UniProt Q99873
Applications Western Blot : 1:1000
IHC (Paraffin) : 1:50-1:100
Limitations This PRMT1 antibody is available for research use only.
Review this product on BioCompare and get a $20 Amazon gift card

Related Products

  • Applications : WB, IHC, ELISA
    Reactivity : Human, Mouse
    Pred. Reactivity : Rat
  • Applications : WB, IHC-P, Direct ELISA
    Reactivity : Human
  • Applications : WB, IF, FACS, Direct ELISA
    Reactivity : Human, Mouse, Rat

Description

Arginine methylation is an irreversible post translational modification which has only recently been linked to protein activity. At least three types of PRMT enzymes have been identified in mammalian cells. These enzymes have been shown to have essential regulatory functions by methylation of key proteins in several fundamental areas. These protein include nuclear proteins, IL enhancer binding factor, nuclear factors, cell cycle proteins, signal transduction proteins, apoptosis proteins, and viral proteins. The mammalian PRMT family currently consists of 7 members that share two large domains of homology. Outside of these domains, epitopes were identified and antibodies against all 7 PRMT members have been developed.

Application Notes

Titration of the PRMT1 antibody may be required due to differences in protocols and secondary/substrate sensitivity.

Immunogen

A portion of amino acids 316-347 from the human protein was used as the immunogen for this PRMT1 antibody.

Storage

Aliquot the PRMT1 antibody and store frozen at -20oC or colder. Avoid repeated freeze-thaw cycles.

Cross
Bulk Quote Request Form
Name*:
Organization*:
Email*:
Phone Number*:
Catalog No.*:
Comments and Specifics(amount, formulation, etc.)*:
Validation code: Captchapackage Image


Can't read the image? click here to refresh.
    *required field

Your bulk quote request has been submitted successfully!

Please contact us if you have any questions.