• Tel: 858.663.9055
  • SeparatorEmail: info@nsjbio.com
  • Tel: 858.663.9055
  • Email: info@nsjbio.com
Home >> Antibodies >> PRLR Antibody / Prolactin Receptor

PRLR Antibody / Prolactin Receptor (R31984)

  Catalog No Formulation Size Price (USD)  
Image R31984 0.5mg/ml if reconstituted with 0.2ml sterile DI water 100 ug 449
Bulk quote request
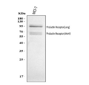
Western blot testing of human MCF7 cell lysate with PRLR antibody. Expected molecular weight: 70-117 kDa depending on glcosylation level.
Availability 1-3 business days
Species Reactivity Human
Format Antigen affinity purified
Host Rabbit
Clonality Polyclonal (rabbit origin)
Isotype Rabbit IgG
Purity Antigen affinity
Buffer Lyophilized from 1X PBS with 2% Trehalose
UniProt P16471
Applications Western Blot : 0.5-1ug/ml
Limitations This PRLR antibody is available for research use only.
Review this product on BioCompare and get a $20 Amazon gift card

Related Products

Description

PRLR (Prolactin Receptor) is a cytokine receptor. By somatic cell hybrid analysis and by in situ hybridization, Arden et al. (1989, 1990) demonstrated that the prolactin receptor gene resides in the same chromosomal region as the growth hormone receptor gene, which has been mapped to 5p13-p12. Cunningham et al. (1990) demonstrated that zinc greatly increases the affinity of GH for the extracellular binding domain of PRLR, although it is not required for binding of GH to the growth hormone receptor or for binding of prolactin to the prolactin receptor. By mutational analysis, they showed that a cluster of 3 residues (histidine-18, histidine-21, and glutamic acid-174) in GH and histidine-188 in PRLR (conserved in all PRL receptors but not GH receptors) are likely zinc-ion ligands.

Application Notes

Optimal dilution of the PRLR antibody should be determined by the researcher.

Immunogen

Amino acids HAKNVACFEESAKEAPPSLEQNQAEKALANFTATSSKCRLQ of human PRLR were used as the immunogen for the PRLR antibody.

Storage

After reconstitution, the PRLR antibody can be stored for up to one month at 4oC. For long-term, aliquot and store at -20oC. Avoid repeated freezing and thawing.

Cross
Bulk Quote Request Form
Name*:
Organization*:
Email*:
Phone Number*:
Catalog No.*:
Comments and Specifics(amount, formulation, etc.)*:
Validation code: Captchapackage Image


Can't read the image? click here to refresh.
    *required field

Your bulk quote request has been submitted successfully!

Please contact us if you have any questions.