• Tel: 858.663.9055
  • SeparatorEmail: info@nsjbio.com
  • Tel: 858.663.9055
  • Email: info@nsjbio.com
Home >> Antibodies >> PRKG1 Antibody / cGKI

PRKG1 Antibody / cGKI (RQ6335)

  Catalog No Formulation Size Price (USD)  
Image RQ6335 0.5mg/ml if reconstituted with 0.2ml sterile DI water 100 ug 449
Bulk quote request
IHC staining of FFPE human breast cancer with PRKG1 antibody. HIER: boil tissue sections in pH8 EDTA for 20 min and allow to cool before testing.
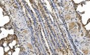
IHC staining of FFPE mouse lung tissue with PRKG1 antibody. HIER: boil tissue sections in pH8 EDTA for 20 min and allow to cool before testing.
IHC staining of FFPE rat lung tissue with PRKG1 antibody. HIER: boil tissue sections in pH8 EDTA for 20 min and allow to cool before testing.
Immunofluorescent staining of FFPE human U-2 OS cells with PRKG1 antibody (green) and DAPI nuclear stain (blue). HIER: steam section in pH6 citrate buffer for 20 min.
Western blot testing of 1) rat lung, 2) rat heart, 3) mouse lung and 4) human HEK293 cell lysate with PRKG1 antibody. Predicted molecular weight ~78 kDa.
Flow cytometry testing of human U-251 cells with PRKG1 antibody at 1ug/million cells (blocked with goat sera); Red=cells alone, Green=isotype control, Blue= PRKG1 antibody.
Flow cytometry testing of rat RH-35 cells with PRKG1 antibody at 1ug/million cells (blocked with goat sera); Red=cells alone, Green=isotype control, Blue= PRKG1 antibody.
Availability 1-3 business days
Species Reactivity Human, Mouse, Rat
Format Purified
Host Rabbit
Clonality Polyclonal (rabbit origin)
Isotype Rabbit IgG
Purity Antigen affinity purified
Buffer Lyophilized from 1X PBS with 2% Trehalose
UniProt Q13976
Localization Cytoplasmic
Applications Western Blot : 0.5-1ug/ml
Immunohistochemistry (FFPE) : 2-5ug/ml
Immunofluorescence (FFPE) : 5ug/ml
Flow Cytometry : 1-3ug/million cells
Direct ELISA : 0.1-0.5ug/ml
Limitations This PRKG1 antibody is available for research use only.
Review this product on BioCompare and get a $20 Amazon gift card

Related Products

  • Applications : WB, IHC, ELISA
    Reactivity : Human, Mouse
    Pred. Reactivity : Bovine

Description

cGMP-dependent protein kinase 1, alpha isozyme is an enzyme that in humans is encoded by the PRKG1 gene. Mammals have three different isoforms of cyclic GMP-dependent protein kinase (Ialpha, Ibeta, and II). These PRKG isoforms act as key mediators of the nitric oxide/cGMP signaling pathway and are important components of many signal transduction processes in diverse cell types. This PRKG1 gene on human chromosome 10 encodes the soluble Ialpha and Ibeta isoforms of PRKG by alternative transcript splicing. A separate gene on human chromosome 4, PRKG2, encodes the membrane-bound PRKG isoform II. The PRKG1 proteins play a central role in regulating cardiovascular and neuronal functions in addition to relaxing smooth muscle tone, preventing platelet aggregation, and modulating cell growth. This gene is most strongly expressed in all types of smooth muscle, platelets, cerebellar Purkinje cells, hippocampal neurons, and the lateral amygdala. Isoforms Ialpha and Ibeta have identical cGMP-binding and catalytic domains but differ in their leucine/isoleucine zipper and autoinhibitory sequences and therefore differ in their dimerization substrates and kinase enzyme activity.

Application Notes

Optimal dilution of the PRKG1 antibody should be determined by the researcher.

Immunogen

Recombinant human protein (amino acids S2-Q44) was used as the immunogen for the PRKG1 antibody.

Storage

After reconstitution, the PRKG1 antibody can be stored for up to one month at 4oC. For long-term, aliquot and store at -20oC. Avoid repeated freezing and thawing.

Cross
Bulk Quote Request Form
Name*:
Organization*:
Email*:
Phone Number*:
Catalog No.*:
Comments and Specifics(amount, formulation, etc.)*:
Validation code: Captchapackage Image


Can't read the image? click here to refresh.
    *required field

Your bulk quote request has been submitted successfully!

Please contact us if you have any questions.