• Tel: 858.663.9055
  • SeparatorEmail: info@nsjbio.com
  • Tel: 858.663.9055
  • Email: info@nsjbio.com
Home >> Antibodies >> PRKCG Antibody / Protein kinase C gamma

PRKCG Antibody / Protein kinase C gamma [clone 19P37] (FY13426)

  Catalog No Formulation Size Price (USD)  
Image FY13426 Rabbit IgG in phosphate buffered saline, pH 7.4, 150mM NaCl, 0.02% sodium azide and 50% glycerol, 0.4-0.5mg/ml BSA 100 ul 449
Microvalidated Recrabbitmono
Bulk quote request
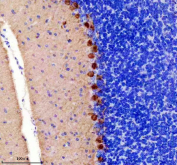
Immunohistochemical staining of rat cerebellum using PRKCG antibody, HRP-secondary and DAB substrate. HIER: boil tissue sections in pH8 EDTA for 20 min and allow to cool before testing. Protein kinase C gamma shows strong cytoplasmic staining in Purkinje neurons localized to the Purkinje cell layer, with minimal staining in the surrounding granular layer.
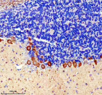
Immunohistochemical staining of mouse cerebellum using PRKCG antibody, HRP-secondary and DAB substrate. HIER: boil tissue sections in pH8 EDTA for 20 min and allow to cool before testing. Protein kinase C gamma shows strong cytoplasmic staining in Purkinje neurons localized to the Purkinje cell layer, with minimal staining in the surrounding granular layer.
Western blot testing of rat and mouse brain and cerebellum tissue lysate with PRKCG antibody. Predicted molecular weight ~78 kDa.
Availability 2-3 weeks
Species Reactivity Human, Mouse, Rat
Format Liquid
Host Rabbit
Clonality Recombinant Rabbit Monoclonal
Isotype Rabbit IgG
Clone Name 19P37
Purity Affinity-chromatography
Buffer Rabbit IgG in phosphate buffered saline, pH 7.4, 150mM NaCl, 0.02% sodium azide and 50% glycerol, 0.4-0.5mg/ml BSA.
UniProt P05129 , P05771 , P17252 , Q02156 , Q05513 , Q05655
Applications Western Blot : 1:500-1:2000
Immunohistochemistry : 1:50-1:200
Limitations This PRKCG antibody is available for research use only.
Review this product on BioCompare and get a $20 Amazon gift card

Related Products

Description

PRKCG antibody targets Protein kinase C gamma, a neuron-enriched serine-threonine kinase encoded by the PRKCG gene and belonging to the conventional protein kinase C family. Protein kinase C gamma requires both diacylglycerol and calcium for activation and is predominantly expressed in the central nervous system. The protein is mainly localized to the cytoplasm and plasma membrane of neurons, where it participates in signal transduction pathways that regulate neuronal excitability, synaptic plasticity, and calcium-dependent signaling events. Due to its restricted expression pattern, protein kinase C gamma is widely studied as a marker of neuronal signaling activity.

Protein kinase C gamma contains a modular structure consisting of an N-terminal regulatory region and a C-terminal catalytic kinase domain. The regulatory region includes C1 domains that bind diacylglycerol and phorbol esters, as well as a C2 domain that mediates calcium-dependent membrane association. Upon activation, protein kinase C gamma translocates from the cytosol to cellular membranes, where it phosphorylates downstream substrates involved in cytoskeletal organization, neurotransmitter release, and activity-dependent gene regulation. In functional terms, protein kinase C gamma serves as a signaling integrator that links lipid and calcium second messengers to phosphorylation-driven neuronal responses.

Expression of protein kinase C gamma is highly enriched in neurons of the brain and spinal cord, with particularly strong expression reported in Purkinje cells of the cerebellum and in cortical neurons. This neuron-specific distribution distinguishes PRKCG from other protein kinase C isoforms that are more broadly expressed across tissues. During neural development and maturation, PRKCG expression increases, supporting roles in synapse formation, refinement of neural circuits, and maintenance of neuronal connectivity. Cell-type specific expression makes PRKCG a useful target for studies of neuronal differentiation and signaling specialization.

From a biological and disease relevance perspective, protein kinase C gamma has been implicated in multiple neurological processes and disorders. Genetic variants in PRKCG are associated with spinocerebellar ataxia type 14, a condition characterized by progressive motor dysfunction and cerebellar degeneration. Altered PRKCG signaling has also been examined in models of epilepsy, chronic pain, and neuroinflammatory responses, where dysregulated kinase activity can influence neuronal excitability and survival. These findings highlight the importance of protein kinase C gamma in maintaining normal neuronal signaling and brain function.

A PRKCG antibody is a valuable research tool for detecting protein kinase C gamma expression and studying its localization and regulation in neural tissues and experimental systems. Detection of PRKCG supports investigations into calcium-dependent signaling pathways, kinase-mediated regulation of synaptic activity, and disease-associated changes in neuronal signaling networks. This antibody targets protein kinase C gamma for use in research applications related to neuroscience and neurodegenerative disease biology.

Application Notes

Optimal dilution of the PRKCG antibody should be determined by the researcher.

Immunogen

A synthesized peptide derived from human Protein kinase C gamma was used as the immunogen for the PRKCG antibody.

Storage

Store the PRKCG antibody at -20oC.

Cross
Bulk Quote Request Form
Name*:
Organization*:
Email*:
Phone Number*:
Catalog No.*:
Comments and Specifics(amount, formulation, etc.)*:
Validation code: Captchapackage Image


Can't read the image? click here to refresh.
    *required field

Your bulk quote request has been submitted successfully!

Please contact us if you have any questions.