• Tel: 858.663.9055
  • SeparatorEmail: info@nsjbio.com
  • Tel: 858.663.9055
  • Email: info@nsjbio.com
Home >> Antibodies >> PRKCA Antibody / PKC alpha

PRKCA Antibody / PKC alpha (F54688)

  Catalog No Formulation Size Price (USD)  
Image F54688-0.4ML In 1X PBS, pH 7.4, with 0.09% sodium azide 0.4 ml 439
Image
F54688-0.08ML In 1X PBS, pH 7.4, with 0.09% sodium azide 0.08 ml 205
Bulk quote request
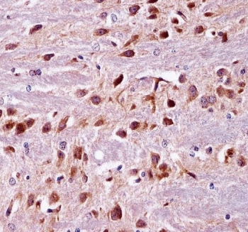
IHC testing of FFPE mouse brain tissue with PRKCA antibody. HIER: steam section in pH6 citrate buffer for 20 min and allow to cool prior to staining.
Western blot testing of mouse Neuro-2a cell lysate with PRKCA antibody. Predicted molecular weight ~77 kDa.
Western blot testing of human Jurkat cell lysate with PRKCA antibody. Predicted molecular weight ~77 kDa.
Flow cytometry testing of mouse Neuro-2a cells with PRKCA antibody; Left=isotype control, Right= PRKCA antibody.
Availability 1-3 business days
Species Reactivity Human, Mouse
Format Purified
Host Rabbit
Clonality Polyclonal (rabbit origin)
Isotype Rabbit IgG
Purity Antigen affinity purified
UniProt P20444
Localization Cytoplasmic, nuclear
Applications Western Blot : 1:500-1:2000
Immunohistochemistry (FFPE) : 1:25
Flow Cytometry : 1:25 (1x10e6 cells)
Limitations This PRKCA antibody is available for research use only.
Review this product on BioCompare and get a $20 Amazon gift card

Related Products

Description

Calcium-activated, phospholipid- and diacylglycerol (DAG)-dependent serine/threonine-protein kinase that is involved in positive and negative regulation of cell proliferation, apoptosis, differentiation, migration and adhesion, tumorigenesis, cardiac hypertrophy, angiogenesis, platelet function and inflammation, by directly phosphorylating targets such as RAF1, BCL2, CSPG4, TNNT2/CTNT, or activating signaling cascade involving MAPK1/3 (ERK1/2) and RAP1GAP. [UniProt]

Application Notes

The stated application concentrations are suggested starting points. Titration of the PRKCA antibody may be required due to differences in protocols and secondary/substrate sensitivity.

Immunogen

A portion of amino acids 1-30 from the mouse protein was used as the immunogen for the PRKCA antibody.

Storage

Aliquot the PRKCA antibody and store frozen at -20oC or colder. Avoid repeated freeze-thaw cycles.

Cross
Bulk Quote Request Form
Name*:
Organization*:
Email*:
Phone Number*:
Catalog No.*:
Comments and Specifics(amount, formulation, etc.)*:
Validation code: Captchapackage Image


Can't read the image? click here to refresh.
    *required field

Your bulk quote request has been submitted successfully!

Please contact us if you have any questions.