• Tel: 858.663.9055
  • SeparatorEmail: info@nsjbio.com
  • Tel: 858.663.9055
  • Email: info@nsjbio.com
Home >> Antibodies >> PRKCA Antibody / PKC alpha

PRKCA Antibody / PKC alpha [clone 133] (V8687)

  Catalog No Formulation Size Price (USD)  
Image V8687-100UG 0.2 mg/ml in 1X PBS with 0.1 mg/ml BSA (US sourced) and 0.05% sodium azide 100 ug 559
Image
V8687-20UG 0.2 mg/ml in 1X PBS with 0.1 mg/ml BSA (US sourced) and 0.05% sodium azide 20 ug 259
Image
V8687SAF-100UG 1 mg/ml in 1X PBS; BSA free, sodium azide free 100 ug 559
Bulk quote request
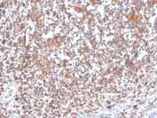
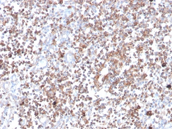
IHC staining of FFPE human tonsil with PRKCA antibody (clone 133). HIER: boil tissue sections in pH 9 10mM Tris with 1mM EDTA for 20 min and allow to cool before testing.
IHC staining of FFPE human tonsil with PRKCA antibody (clone 133). HIER: boil tissue sections in pH 9 10mM Tris with 1mM EDTA for 20 min and allow to cool before testing.
Availability 1-3 business days
Species Reactivity Human, Mouse, Rat
Format Purified
Host Mouse
Clonality Monoclonal (mouse origin)
Isotype Mouse IgG2a, kappa
Clone Name 133
Purity Protein G affinity chromatography
UniProt P17252
Localization Cytoplasm, cell membrane, nucleus
Applications Western Blot : 1-2ug/ml
Immunohistochemistry (FFPE) : 1-2ug/ml for 30 minutes at RT
Limitations This PRKCA antibody is available for research use only.
Review this product on BioCompare and get a $20 Amazon gift card

Related Products

Description

Protein Kinase C alpha (PKC) is involved in the regulation of cell proliferation during cell cycle progression. This is a calcium-activated, phospholipid-dependent, serine- and threonine-specific enzyme. May play a role in cell motility by phosphorylating CSPG4. PKC is activated by diacylglycerol which in turn phosphorylates a range of cellular proteins. PKC also serves as the receptor for phorbol esters, a class of tumor promoters. Clone 133 recognizes the isoform of PKC and binds to a sequence at the C terminus of PKC to detect its expression in vitro.

Application Notes

Optimal dilution of the PRKCA antibody should be determined by the researcher.

Immunogen

Full-length protein was used as the immunogen for the PRKCA antibody. The epitope has been mapped to amino acids PQFVHPILQSAV at the C terminus.

Storage

Store the PRKCA antibody at 2-8oC (with azide) or aliquot and store at -20oC or colder (without azide).

Cross
Bulk Quote Request Form
Name*:
Organization*:
Email*:
Phone Number*:
Catalog No.*:
Comments and Specifics(amount, formulation, etc.)*:
Validation code: Captchapackage Image


Can't read the image? click here to refresh.
    *required field

Your bulk quote request has been submitted successfully!

Please contact us if you have any questions.