• Tel: 858.663.9055
  • SeparatorEmail: info@nsjbio.com
  • Tel: 858.663.9055
  • Email: info@nsjbio.com
Home >> Antibodies >> PRF1 Antibody / Perforin

PRF1 Antibody / Perforin [clone rPRF1/8058] (V4101)

  Catalog No Formulation Size Price (USD)  
Image V4101-100UG 0.2 mg/ml in 1X PBS with 0.1 mg/ml BSA (US sourced), 0.05% sodium azide 100 ug 559
Image
V4101-20UG 0.2 mg/ml in 1X PBS with 0.1 mg/ml BSA (US sourced), 0.05% sodium azide 20 ug 259
Image
V4101SAF-100UG 1 mg/ml in 1X PBS; BSA free, sodium azide free 100 ug 559
Microvalidated Recmousemono
Bulk quote request
Western blot testing of human HDLM-2 cell lysate with Perforin-1 antibody (clone rPRF1/8058). Predicted molecular weight ~61 kDa.
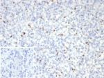
IHC staining of FFPE human spleen tissue with Perforin-1 antibody (clone rPRF1/8058). Inset: PBS used in place of primary Ab (secondary Ab negative control). HIER: boil tissue sections in pH 9 10mM Tris with 1mM EDTA for 20 min and allow to cool before testing.
Availability 1-3 business days
Species Reactivity Human
Format Purified
Host Mouse
Clonality Recombinant Mouse Monoclonal
Isotype Mouse IgG1, kappa
Clone Name rPRF1/8058
Purity Protein A/G affinity
UniProt P14222
Localization Cytoplasm
Applications Western Blot : 1-2ug/ml
Immunohistochemistry (FFPE) : 1-2ug/ml for 30 minutes at RT
Limitations This PRF1 antibody is available for research use only.
Review this product on BioCompare and get a $20 Amazon gift card

Related Products

Description

PRF1 antibody recognizes Perforin, a calcium-dependent pore-forming cytolytic protein encoded by the PRF1 gene. Perforin is a key effector molecule of cytotoxic T lymphocytes and natural killer cells, where it localizes to cytoplasmic secretory granules and mediates immune cell-directed apoptosis. Upon recognition of infected or transformed target cells, Perforin is released into the immunologic synapse and inserts into the target cell membrane, forming transmembrane pores that enable entry of granzymes and activation of apoptotic signaling pathways.

Perforin belongs to the membrane attack complex/perforin family and contains a conserved MACPF domain that is essential for membrane binding and pore formation. Its activity is tightly regulated and calcium dependent, ensuring targeted cytolytic function without bystander tissue damage. Expression of PRF1 is enriched in activated CD8-positive T cells and NK cells, particularly within lymphoid tissues such as spleen, tonsil, and lymph node. Cytoplasmic granule localization is the expected staining pattern in these immune cell populations.

The PRF1 gene is located on chromosome 10 and plays a central role in antiviral immunity, tumor immunosurveillance, and immune homeostasis. Mutations in PRF1 are associated with familial hemophagocytic lymphohistiocytosis and other immune dysregulation syndromes, highlighting its critical function in controlling excessive immune activation. Altered perforin expression has also been studied in cancer immunology and inflammatory diseases.

This PRF1 antibody (clone rPRF1/8058) is suitable for detecting Perforin expression in research applications. A PRF1 antibody is useful for identifying cytotoxic lymphocyte populations and evaluating immune effector function in normal and pathological tissues.

Application Notes

Optimal dilution of the PRF1 antibody should be determined by the researcher.

Immunogen

A recombinant human Perforin-1 protein fragment (within amino acids 355-555) was used as the immunogen for the PRF1 antibody.

Storage

Aliquot the PRF1 antibody and store frozen at -20oC or colder. Avoid repeated freeze-thaw cycles.

Cross
Bulk Quote Request Form
Name*:
Organization*:
Email*:
Phone Number*:
Catalog No.*:
Comments and Specifics(amount, formulation, etc.)*:
Validation code: Captchapackage Image


Can't read the image? click here to refresh.
    *required field

Your bulk quote request has been submitted successfully!

Please contact us if you have any questions.