• Tel: 858.663.9055
  • SeparatorEmail: info@nsjbio.com
  • Tel: 858.663.9055
  • Email: info@nsjbio.com
Home >> Antibodies >> PREX1 Antibody

PREX1 Antibody (R33979)

  Catalog No Formulation Size Price (USD)  
Image R33979-100UG 0.5 mg/ml in 1X TBS, pH7.3, with 0.5% BSA (US sourced) and 0.02% sodium azide 100 ug 475
Bulk quote request
Western blot testing of human temporal cortex lysate with PREX1 antibody at 1ug/ml. Predicted molecular weight: ~186 kDa, observed here at ~150 kDa.
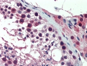
IHC testing of FFPE human testis tissue with PREX1 antibody at 10ug/ml. Steamed antigen retrieval with citrate buffer pH 6, AP-staining.
Availability 1-3 business days
Species Reactivity Human
Predicted Reactivity Mouse, Rat, Dog, Cow
Format Antigen affinity purified
Host Goat
Clonality Polyclonal (goat origin)
Isotype Goat Ig
Purity Antigen affinity
Gene ID 57580
Localization Cytoplasmic
Applications Western Blot : 1-3ug/ml
IHC (FFPE) : 10ug/ml
ELISA (peptide) LOD : 1:16000
Limitations This PREX1 antibody is available for research use only.
Review this product on BioCompare and get a $20 Amazon gift card

Related Products

  • Applications : IHC-P, WB, FACS
    Reactivity : Human
  • Applications : WB, FACS, Direct ELISA
    Reactivity : Human

Description

Additional name(s) for this target protein: Phosphatidylinositol-3,4,5-trisphosphate-dependent Rac exchange factor 1

Application Notes

Optimal dilution of the PREX1 antibody should be determined by the researcher.

Immunogen

Amino acids ERSNLPTDASTTA were used as the immunogen for this PREX1 antibody.

Storage

Aliquot and store the PREX1 antibody at -20oC.

Cross
Bulk Quote Request Form
Name*:
Organization*:
Email*:
Phone Number*:
Catalog No.*:
Comments and Specifics(amount, formulation, etc.)*:
Validation code: Captchapackage Image


Can't read the image? click here to refresh.
    *required field

Your bulk quote request has been submitted successfully!

Please contact us if you have any questions.