• Tel: 858.663.9055
  • SeparatorEmail: info@nsjbio.com
  • Tel: 858.663.9055
  • Email: info@nsjbio.com
Home >> Antibodies >> PRDX1 Antibody / Peroxiredoxin 1

PRDX1 Antibody / Peroxiredoxin 1 (R31761)

  Catalog No Formulation Size Price (USD)  
Image R31761 0.5mg/ml if reconstituted with 0.2ml sterile DI water 100 ug 449
Bulk quote request
Immunofluorescent staining of FFPE human U-2 OS cells with PRDX1 antibody (red) and DAPI nuclear stain (blue). HIER: steam section in pH6 citrate buffer for 20 min.
IHC-P testing of PRDX1 antibody and human breast cancer tissue. HIER: steamed with pH6 citrate buffer.
ICC testing of PRDX1 antibody and human SMMC-7721 cells.
IHC-P testing of mouse brain tissue with PRDX1 antibody. HIER: steamed with pH6 citrate buffer.
IHC-P testing of rat brain tissue with PRDX1 antibody. HIER: steamed with pH6 citrate buffer.
IF/ICC staining of FFPE human HeLa cells with PRDX1 antibody (green) at 2ug/ml and DAPI nuclear stain (blue). HIER: steam section in pH6 citrate buffer for 20 min.
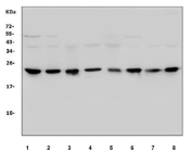
Western blot testing of 1) rat kidney, 2) rat testis, 3) rat liver, 4) rat PC-12, 5) mouse kidney, 6) mouse testis, 7) mouse liver and 8) mouse RAW264.7 cell lysate with PRDX1 antibody. Expected molecular weight: ~22 kDa.
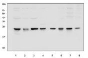
Western blot testing of human 1) Raji, 2) Jurkat, 3) MDA-MB-453, 4) HeLa, 5) HepG2, 6) HEK293, 7) human placenta and 8) A549 cell lysate with PRDX1 antibody. Expected molecular weight: ~22 kDa.
Availability 1-3 business days
Species Reactivity Human, Mouse, Rat
Format Antigen affinity purified
Host Rabbit
Clonality Polyclonal (rabbit origin)
Isotype Rabbit IgG
Purity Antigen affinity
Buffer Lyophilized from 1X PBS with 2.5% BSA and 0.025% sodium azide
UniProt Q06830
Gene ID 5052
Localization Cytoplasm
Applications Western Blot : 0.5-1ug/ml
Immunohistochemistry (FFPE) : 0.5-1ug/ml
Immunocytochemistry : 0.5-1ug/ml
Immunofluorescence : 2ug/ml
Flow Cytometry : 1-3ug/million cells
Limitations This PRDX1 antibody is available for research use only.
Review this product on BioCompare and get a $20 Amazon gift card

Related Products

Description

Peroxiredoxin 1 is a thiol reductase that plays critical roles in oxidative and thermal stress defense mechanisms through its abilities to metabolize H2O2 and act as a molecular chaperone, respectively. This gene encodes a member of the peroxiredoxin family of antioxidant enzymes which reduce hydrogen peroxide and alkyl hydroperoxides.

Application Notes

Titration of the PRDX1 antibody may be required due to differences in protocols and secondary/substrate sensitivity.

Immunogen

An amino acid sequence from the middle region of human Peroxiredoxin 1 (MNIPLVSDPKRTIAQDYGVLKADEGISFR) was used as the immunogen for this PRDX1 antibody.

Storage

The PRDX1 antibody can be stored at 4oC to -20oC. After reconstitution, aliquot and store at -20oC. Avoid repeated freezing and thawing.

Cross
Bulk Quote Request Form
Name*:
Organization*:
Email*:
Phone Number*:
Catalog No.*:
Comments and Specifics(amount, formulation, etc.)*:
Validation code: Captchapackage Image


Can't read the image? click here to refresh.
    *required field

Your bulk quote request has been submitted successfully!

Please contact us if you have any questions.