• Tel: 858.663.9055
  • SeparatorEmail: info@nsjbio.com
  • Tel: 858.663.9055
  • Email: info@nsjbio.com
Home >> Antibodies >> PRDM11 Antibody / PR domain-containing protein 11

PRDM11 Antibody / PR domain-containing protein 11 (FY13359)

  Catalog No Formulation Size Price (USD)  
Image FY13359 Adding 0.2 ml of distilled water will yield a concentration of 500 ug/ml 100 ug 449
Bulk quote request
Immunofluorescent staining of PRDM11 using anti-PRDM11 antibody (red). PRDM11 was detected in a paraffin-embedded section of human lung cancer tissue. Heat mediated antigen retrieval was performed in EDTA buffer (pH 8.0, epitope retrieval solution). The tissue section was blocked with 10% goat serum. The tissue section was then incubated with 5 ug/ml rabbit anti-PRDM11 antibody overnight at 4oC. Cy3 Conjugated Goat Anti-Rabbit IgG was used as secondary antibody at 1:500 dilution and incubated for 30 minutes at 37oC. The section was counterstained with DAPI nuclear stain (blue). Visualize using a fluorescence microscope and filter sets appropriate for the label used.
Western blot analysis of PRDM11 using anti-PRDM11 antibody. Electrophoresis was performed on a 10% SDS-PAGE gel at 80V (Stacking gel) / 120V (Resolving gel) for 2 hours. Lane 1: human U251 whole cell lysates, Lane 2: human THP-1 whole cell lysates, Lane 3: human Hela whole cell lysates, Lane 4: human whole cell lysates, Lane 5: rat spleen tissue lysates, Lane 6: rat lung tissue lysates, Lane 7: mouse spleen tissue lysates, Lane 8: mouse lung tissue lysates. After electrophoresis, proteins were transferred to a nitrocellulose membrane at 150 mA for 50-90 minutes. Blocked the membrane with 5% non-fat milk/TBS for 1.5 hour at RT. The membrane was incubated with rabbit anti-PRDM11 antibody at 0.5 ug/ml overnight at 4oC, then washed with TBS-0.1%Tween 3 times with 5 minutes each and probed with a goat anti-rabbit IgG-HRP secondary antibody at a dilution of 1:5000 for 1.5 hour at RT. The signal is developed using an ECL Plus Western Blotting Substrate with Tanon 5200 system. A specific band was detected for PRDM11 at approximately 58 kDa. The expected molecular weight of PRDM11 is ~58 kDa.
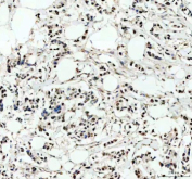
Immunohistochemical staining of PRDM11 using anti-PRDM11 antibody. PRDM11 was detected in a paraffin-embedded section of human lung cancer tissue. Heat mediated antigen retrieval was performed in EDTA buffer (pH 8.0, epitope retrieval solution). The tissue section was blocked with 10% goat serum. The tissue section was then incubated with 2 ug/ml rabbit anti-PRDM11 antibody overnight at 4oC. Peroxidase Conjugated Goat Anti-rabbit IgG was used as secondary antibody and incubated for 30 minutes at 37oC. The tissue section was developed using an HRP secondary and DAB substrate.
Immunofluorescent staining of PRDM11 using anti-PRDM11 antibody and anti-Tubulin Alpha antibody. PRDM11 was detected in immunocytochemical section of Hela cell. Enzyme antigen retrieval was performed using IHC enzyme antigen retrieval reagent for 15 mins. The cells were blocked with 10% goat serum. And then incubated with 5 ug/ml rabbit anti-PRDM11 antibody and mouse anti-Tubulin Alpha antibody overnight at 4oC. DyLight 488 Conjugated Goat Anti-Rabbit IgG and Cy3 Conjugated Goat Anti-Mouse IgG were used as secondary antibody at 1:500 dilution and incubated for 30 minutes at 37oC. Visualize using a fluorescence microscope and filter sets appropriate for the label used.
Immunofluorescent staining of PRDM11 using anti-PRDM11 antibody (red). PRDM11 was detected in a paraffin-embedded section of human breast cancer tissue. Heat mediated antigen retrieval was performed in EDTA buffer (pH 8.0, epitope retrieval solution). The tissue section was blocked with 10% goat serum. The tissue section was then incubated with 5 ug/ml rabbit anti-PRDM11 antibody overnight at 4oC. Cy3 Conjugated Goat Anti-Rabbit IgG was used as secondary antibody at 1:500 dilution and incubated for 30 minutes at 37oC. The section was counterstained with DAPI nuclear stain (blue). Visualize using a fluorescence microscope and filter sets appropriate for the label used.
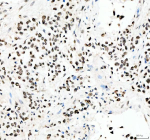
Immunohistochemical staining of PRDM11 using anti-PRDM11 antibody. PRDM11 was detected in a paraffin-embedded section of human breast cancer tissue. Heat mediated antigen retrieval was performed in EDTA buffer (pH 8.0, epitope retrieval solution). The tissue section was blocked with 10% goat serum. The tissue section was then incubated with 2 ug/ml rabbit anti-PRDM11 antibody overnight at 4oC. Peroxidase Conjugated Goat Anti-rabbit IgG was used as secondary antibody and incubated for 30 minutes at 37oC. The tissue section was developed using an HRP secondary and DAB substrate.
Flow Cytometry analysis of human THP-1 cells using anti-PRDM11 antibody. Overlay histogram showing THP-1 cells stained with (Blue line). To facilitate intracellular staining, cells were fixed with 4% paraformaldehyde and permeabilized with permeabilization buffer. The cells were blocked with 10% normal goat serum. And then incubated with rabbit anti-PRDM11 antibody (1 ug/million cells) for 30 min at 20oC. DyLight 488 conjugated goat anti-rabbit IgG (5-10 ug/million cells) was used as secondary antibody for 30 minutes at 20oC. Isotype control antibody (Green line) was rabbit IgG (1 ug/million cells) used under the same conditions. Unlabelled sample without incubation with primary antibody and secondary antibody (Red line) was used as a blank control.
Availability 1-2 days
Species Reactivity Human, Mouse, Rat
Format Lyophilized
Host Rabbit
Clonality Polyclonal (rabbit origin)
Isotype Rabbit IgG
Purity Immunogen affinity purified
Buffer Each vial contains 4 mg Trehalose, 0.9 mg NaCl, 0.2 mg Na2HPO4.
UniProt Q9NQV5
Applications Western Blot : 0.25-0.5ug/ml
Immunohistochemistry : 2-5ug/ml
Immunocytochemistry : 5ug/ml
Immunofluorescence : 5ug/ml
Flow Cytometry : 1-3ug/million cells
ELISA : 0.1-0.5ug/ml
Limitations This PRDM11 antibody is available for research use only.
Review this product on BioCompare and get a $20 Amazon gift card

Related Products

  • Applications : WB, IHC-P, ELISA (peptide)
    Reactivity : Human

Description

PRDM11 antibody detects PR domain-containing protein 11, a nuclear transcriptional regulator encoded by the PRDM11 gene located on chromosome 11q24.2. PRDM11 belongs to the PR domain zinc finger protein family, known for roles in transcriptional repression, chromatin modification, and developmental gene regulation. It contains a PR (positive regulatory) domain with methyltransferase-related function and multiple C2H2-type zinc finger motifs for DNA binding. PRDM11 is expressed in lymphoid tissues, brain, and testis, where it influences lineage specification and cellular differentiation through epigenetic control.

PRDM11 functions as a transcriptional repressor that modulates gene expression by recruiting histone-modifying enzymes such as histone methyltransferases and HDACs. Through these interactions, PRDM11 establishes repressive chromatin environments to silence developmental regulators. It plays a role in maintaining proper differentiation states of B cells and neurons by controlling genes involved in proliferation and signaling. Co-localization studies show PRDM11 concentrated in nuclear foci where transcriptional repression occurs.

Structurally, PRDM11 contains an N-terminal PR/SET domain that is homologous to histone lysine methyltransferases, although its intrinsic enzymatic activity remains unclear. The C-terminal region includes multiple zinc finger motifs that recognize specific DNA sequences and allow recruitment of co-repressors. It belongs to the PRDM family of transcriptional regulators, which includes PRDM1 (BLIMP-1), PRDM2, and PRDM16, all of which play pivotal roles in development and oncogenesis.

Functionally, PRDM11 contributes to chromatin-mediated gene silencing and developmental programming. It represses target genes involved in cell proliferation and signaling pathways, promoting stable cell identity. In neural tissues, PRDM11 is implicated in neuronal subtype specification, while in hematopoietic cells it influences differentiation and germinal center responses. It may also coordinate cross-talk between chromatin remodeling complexes and transcriptional repressors such as REST and HDAC1.

Dysregulation of PRDM11 is associated with lymphoma and other cancers. Loss of expression or chromosomal rearrangements involving PRDM11 are reported in diffuse large B-cell lymphoma, suggesting a tumor suppressor function. Aberrant PRDM11 activity can also disrupt neural differentiation or germ cell maturation. Pathway associations include chromatin organization, histone modification, and transcriptional repression networks. During embryogenesis, PRDM11 expression correlates with organogenesis and tissue patterning.

Immunohistochemical staining using PRDM11 antibody reveals nuclear localization in lymphocytes and neuronal cells. The PRDM11 antibody from NSJ Bioreagents is a valuable reagent for investigating epigenetic regulation, transcriptional repression, and developmental biology.

Application Notes

Optimal dilution of the PRDM11 antibody should be determined by the researcher.

Immunogen

E.coli-derived human PRDM11 recombinant protein (Position: E37-L483) was used as the immunogen for the PRDM11 antibody.

Storage

After reconstitution, the PRDM11 antibody can be stored for up to one month at 4oC. For long-term, aliquot and store at -20oC. Avoid repeated freezing and thawing.

Cross
Bulk Quote Request Form
Name*:
Organization*:
Email*:
Phone Number*:
Catalog No.*:
Comments and Specifics(amount, formulation, etc.)*:
Validation code: Captchapackage Image


Can't read the image? click here to refresh.
    *required field

Your bulk quote request has been submitted successfully!

Please contact us if you have any questions.