• Tel: 858.663.9055
  • SeparatorEmail: info@nsjbio.com
  • Tel: 858.663.9055
  • Email: info@nsjbio.com
Home >> Antibodies >> PRC1 Antibody / Protein Regulator of cytokinesis 1

PRC1 Antibody / Protein Regulator of cytokinesis 1 (R31819)

  Catalog No Formulation Size Price (USD)  
Image R31819 0.5mg/ml if reconstituted with 0.2ml sterile DI water 100 ug 449
Bulk quote request
Immunoprecipitation of PRC1 protein from 500ug of human 293T whole cell lysate with 2ug of PRC1 antibody.
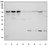
Western blot testing of 1) human U-251, 2) human HeLa, 3) human 293T, 4) human HaCaT, 5) rat testis, 6) rat liver, 7) mouse testis and 8) mouse liver tissue lysate with PRC1 antibody. Expected molecular weight ~70-80 kDa, may be observed as a doublet.
Flow cytometry testing of fixed and permeabilized human 293T cells with PRC1 antibody at 1ug/million cells (blocked with goat sera); Red=cells alone, Green=isotype control, Blue= PRC1 antibody.
Availability 1-3 business days
Species Reactivity Human, Mouse, Rat
Format Antigen affinity purified
Clonality Polyclonal (rabbit origin)
Isotype Rabbit IgG
Purity Antigen affinity
Buffer Lyophilized from 1X PBS with 2% Trehalose
UniProt O43663
Applications Western Blot : 0.5-1ug/ml
Immunoprecipitation : 2ug per 500ug of lysate
Flow Cytometry : 1-3ug/million cells
Limitations This PRC1 antibody is available for research use only.
Review this product on BioCompare and get a $20 Amazon gift card

Related Products

Description

PRC1 (Protein Regulator of Cytokinesis 1) is a microtubule-associated protein that plays a pivotal role in cell division, particularly during mitosis and cytokinesis. It is essential for the organization of antiparallel microtubules at the spindle midzone and for the proper formation of the central spindle during anaphase. PRC1 ensures accurate chromosome segregation and cleavage furrow positioning, thus maintaining genomic stability and normal cell proliferation.

PRC1 is tightly regulated through phosphorylation by cyclin-dependent kinases, which restrict its activity to specific phases of the cell cycle. Dysregulation or overexpression of PRC1 has been linked to tumor progression, especially in cancers such as breast, lung, and liver, where it is associated with increased cell proliferation and poor prognosis. Its role in mitotic spindle dynamics makes PRC1 a valuable marker for studying mitosis and potential therapeutic interventions targeting cell division.

The PRC1 antibody is a critical tool for examining cell cycle progression, mitotic spindle formation, and tumor biology. Commonly used in applications such as immunofluorescence, western blot, and immunohistochemistry, the PRC1 antibody allows for specific detection of PRC1 in both cultured cells and tissue samples. With high affinity and reliable performance, the PRC1 antibody supports research in cancer biology, cell division, and molecular cell dynamics.

Application Notes

Optimal dilution of the PRC1 antibody should be determined by the researcher.

Immunogen

Amino acids 1-233 of human PRC1 were used as the immunogen for the PRC1 antibody.

Storage

After reconstitution, the PRC1 antibody can be stored for up to one month at 4oC. For long-term, aliquot and store at -20oC. Avoid repeated freezing and thawing.

Cross
Bulk Quote Request Form
Name*:
Organization*:
Email*:
Phone Number*:
Catalog No.*:
Comments and Specifics(amount, formulation, etc.)*:
Validation code: Captchapackage Image


Can't read the image? click here to refresh.
    *required field

Your bulk quote request has been submitted successfully!

Please contact us if you have any questions.