• Tel: 858.663.9055
  • SeparatorEmail: info@nsjbio.com
  • Tel: 858.663.9055
  • Email: info@nsjbio.com
Home >> Antibodies >> PRAME Antibody / OIP-4

PRAME Antibody / OIP-4 [clone PRAME/9188] (V5571)

  Catalog No Formulation Size Price (USD)  
Image V5571-100UG 0.2 mg/ml in 1X PBS with 0.1 mg/ml BSA (US sourced), 0.05% sodium azide 100 ug 559
Image
V5571-20UG 0.2 mg/ml in 1X PBS with 0.1 mg/ml BSA (US sourced), 0.05% sodium azide 20 ug 259
Image
V5571SAF-100UG 1 mg/ml in 1X PBS; BSA free, sodium azide free 100 ug 559
Bulk quote request
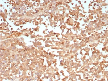
PRAME Antibody Melanoma IHC. Immunohistochemistry analysis of FFPE human melanoma tissue stained with PRAME antibody clone PRAME/9188. Tumor cells demonstrate diffuse nuclear and cytoplasmic HRP-DAB brown staining consistent with expression of Preferentially expressed antigen in melanoma / PRAME, a cancer-testis antigen involved in transcriptional regulation and tumor-associated immune signaling pathways. HIER: Tris/EDTA, pH 9.0, 45 min. Incubation with HRP-polymer secondary reagent for 30 min followed by DAB development for 5 min.
SDS-PAGE analysis of purified, BSA-free PRAME antibody (clone PRAME/9188) as confirmation of integrity and purity.
PRAME Antibody Human Lung WB. Western blot analysis of human lung tissue lysate using PRAME antibody clone PRAME/9188. A distinct band is detected at approximately 58-60 kDa, consistent with the expected molecular weight of Preferentially expressed antigen in melanoma / PRAME, a cancer-testis antigen involved in transcriptional regulation and tumor-associated immune signaling pathways.
Availability 1-3 business days
Species Reactivity Human
Format Purified
Host Mouse
Clonality Monoclonal (mouse origin)
Isotype Mouse IgG2b, kappa
Clone Name PRAME/9188
Purity Protein A/G affinity
UniProt P78395
Localization Nucleus, Cytoplasm, Cell membrane
Applications Immunohistochemistry (FFPE) : 1-2ug/ml
Western Blot : 2-4ug/ml
Limitations This PRAME antibody is available for research use only.
Review this product on BioCompare and get a $20 Amazon gift card

Related Products

Description

PRAME Antibody specifically detects Preferentially expressed antigen of melanoma, a protein that functions as a transcriptional repressor, inhibiting the signaling of retinoic acid through the retinoic acid receptors RARA, RARB and RARG. Prevents retinoic acid-induced cell proliferation arrest, differentiation and apoptosis. This gene encodes an antigen that is preferentially expressed in human melanomas and that is recognized by cytolytic T lymphocytes. It is not expressed in normal tissues, except testis. The encoded protein acts as a repressor of retinoic acid receptor, and likely confers a growth advantage to cancer cells via this function. Alternative splicing results in multiple transcript variants.

Researchers studying melanoma-associated antigens, cancer-testis antigen biology, and tumor-associated immune signaling pathways may also be interested in our PRAME Antibody / Tumor Immunology Marker page featuring validated immunohistochemistry and western blot applications for PRAME-associated cancer research.

Application Notes

Optimal dilution of the PRAME antibody should be determined by the researcher.

Immunogen

A recombinant fragment (within amino acids 100-250) of human PRAME protein was used as the immunogen for the PRAME antibody.

Storage

Aliquot the PRAME antibody and store frozen at -20oC or colder. Avoid repeated freeze-thaw cycles.

Cross
Bulk Quote Request Form
Name*:
Organization*:
Email*:
Phone Number*:
Catalog No.*:
Comments and Specifics(amount, formulation, etc.)*:
Validation code: Captchapackage Image


Can't read the image? click here to refresh.
    *required field

Your bulk quote request has been submitted successfully!

Please contact us if you have any questions.