• Tel: 858.663.9055
  • SeparatorEmail: info@nsjbio.com
  • Tel: 858.663.9055
  • Email: info@nsjbio.com
Home >> Antibodies >> PRAME Antibody / Tumor Immunology Marker

PRAME Antibody / Tumor Immunology Marker [clone PRAME/8558R] (V4851)

  Catalog No Formulation Size Price (USD)  
Image V4851-100UG 0.2 mg/ml in 1X PBS with 0.1 mg/ml BSA (US sourced), 0.05% sodium azide 100 ug 559
Image
V4851-20UG 0.2 mg/ml in 1X PBS with 0.1 mg/ml BSA (US sourced), 0.05% sodium azide 20 ug 259
Image
V4851SAF-100UG 1 mg/ml in 1X PBS; BSA free, sodium azide free 100 ug 559
Microvalidated Recrabbitmono
Bulk quote request
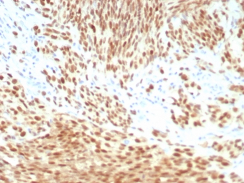
PRAME Antibody Melanoma IHC. Immunohistochemistry analysis of FFPE human melanoma tissue stained with recombinant rabbit monoclonal PRAME antibody clone PRAME/8558R. Tumor cells demonstrate strong nuclear HRP-DAB brown staining consistent with expression of Preferentially expressed antigen in melanoma / PRAME, a cancer-testis antigen involved in tumor-associated immune signaling and transcriptional regulation pathways. The observed staining pattern is consistent with established PRAME expression in melanoma-associated tumor cell populations. HIER: boil tissue sections in pH 9 10mM Tris with 1mM EDTA for 20 min and allow to cool before testing.
PRAME Antibody SK-MEL-2 WB. Western blot analysis of human SK-MEL-2 melanoma cell lysate using PRAME antibody clone PRAME/8558R. A distinct band is detected at approximately 58-60 kDa, consistent with the expected molecular weight of Preferentially expressed antigen in melanoma / PRAME, a cancer-testis antigen involved in transcriptional regulation and tumor-associated immune signaling pathways. The observed signal is consistent with established PRAME expression in melanoma-associated tumor cell models.
PRAME Antibody K562 WB. Western blot analysis of human K562 cell lysate using PRAME antibody clone PRAME/8558R. A distinct band is detected at approximately 58-60 kDa, consistent with the expected molecular weight of Preferentially expressed antigen in melanoma / PRAME, a cancer-testis antigen involved in transcriptional regulation and tumor-associated immune signaling pathways. The observed signal is consistent with established PRAME expression in hematologic tumor-derived cell models.
Availability 1-3 business days
Species Reactivity Human
Format Purified
Host Rabbit
Clonality Recombinant Rabbit Monoclonal
Isotype Rabbit IgG, kappa
Clone Name PRAME/8558R
Purity Protein A/G affinity
UniProt P78395
Localization Nucleus, Cytoplasm, Cell membrane
Applications Immunohistochemistry (FFPE) : 1-2ug/ml for 30 min at RT
Western Blot : 2-4ug/ml
Limitations This PRAME Antibody / Tumor Immunology Marker is available for research use only.
Review this product on BioCompare and get a $20 Amazon gift card

Related Products

Description

Preferentially expressed antigen in melanoma (PRAME), also known as Opa-interacting protein 4, is a cancer-testis antigen involved in transcriptional regulation, tumor-associated immune signaling, and cellular differentiation pathways. PRAME Antibody / Tumor Immunology Marker is useful for studying tumor immunology, cancer-testis antigen expression, and malignancy-associated transcriptional regulation pathways. PRAME antibody, also referred to as Preferentially expressed antigen in melanoma antibody and Opa-interacting protein 4 antibody in the literature, recognizes a tumor-associated antigen broadly expressed across multiple malignancies and restricted normal tissue compartments.

PRAME is predominantly localized within the nucleus, although cytoplasmic expression patterns have also been reported depending on tissue type and tumor context. The protein functions in transcriptional regulatory pathways associated with retinoic acid signaling suppression, cellular differentiation control, and tumor-associated proliferative signaling. Under normal physiologic conditions, PRAME expression is generally limited to testis and selected reproductive tissues, while expression becomes strongly elevated across a broad spectrum of cancers including melanoma, leukemia, ovarian carcinoma, lung cancer, sarcoma, breast carcinoma, and additional solid tumor types.

Because PRAME demonstrates highly restricted normal tissue distribution combined with elevated tumor-associated expression, this target has become increasingly important in cancer immunology, diagnostic pathology, and immunotherapy research. PRAME-associated signaling pathways have been investigated in tumor immune evasion, cellular proliferation, differentiation blockade, and oncogenic transcriptional reprogramming mechanisms. Expression of PRAME has also become highly relevant in studies examining tumor classification, prognostic stratification, and antigen-directed therapeutic strategies.

In surgical pathology research, PRAME immunohistochemistry is widely used to evaluate melanocytic lesions and assist in distinguishing melanoma from benign melanocytic proliferations. PRAME expression has also been studied in hematologic malignancies, soft tissue tumors, gynecologic cancers, and metastatic disease models. Immunohistochemistry studies commonly demonstrate nuclear staining patterns within tumor cell populations consistent with the transcription-associated functions of PRAME-related signaling pathways.

A recombinant rabbit monoclonal clone PRAME/8558R antibody can be used for studies examining cancer-testis antigen biology and tumor-associated immune signaling pathways. Because PRAME functions at the intersection of tumor immunology, transcriptional regulation, and malignancy-associated antigen expression, this target remains highly relevant for studies focused on melanoma biology, immunotherapy development, tumor classification, and cancer-associated transcriptional signaling mechanisms.

Researchers studying cancer-testis antigens, tumor-associated immune signaling, and melanoma-associated transcriptional regulation pathways may also be interested in our broader Cancer Antibodies collection featuring markers involved in tumor immunology, oncogenic signaling, and immunotherapy research.

Application Notes

Optimal dilution of the PRAME Antibody / Tumor Immunology Marker should be determined by the researcher.

Immunogen

A recombinant partial protein sequence (within amino acids 100-509) from the human protein was used as the immunogen for the PRAME antibody.

Storage

Aliquot the PRAME antibody and store frozen at -20oC or colder. Avoid repeated freeze-thaw cycles.

Cross
Bulk Quote Request Form
Name*:
Organization*:
Email*:
Phone Number*:
Catalog No.*:
Comments and Specifics(amount, formulation, etc.)*:
Validation code: Captchapackage Image


Can't read the image? click here to refresh.
    *required field

Your bulk quote request has been submitted successfully!

Please contact us if you have any questions.