• Tel: 858.663.9055
  • SeparatorEmail: info@nsjbio.com
  • Tel: 858.663.9055
  • Email: info@nsjbio.com
Home >> Antibodies >> PRAK Antibody / p38-Regulated Stress Kinase

PRAK Antibody / p38-Regulated Stress Kinase (R36080)

  Catalog No Formulation Size Price (USD)  
Image R36080-100UG 0.5 mg/ml in 1X TBS, pH7.3, with 0.5% BSA (US sourced) and 0.02% sodium azide 100 ug 475
Bulk quote request
PRAK Antibody Stress Kinase Specificity WB. Western blot analysis of HEK293 cell lysates overexpressing mouse MK5 / PRAK or mouse MK2 using goat polyclonal PRAK antibody Cat. # R36080 (0.5 ug/ml). A strong band is detected near 90 kDa in MK5/PRAK-expressing cells, consistent with the expected molecular weight of the PRAK-GFP fusion protein. No detectable cross-reactivity is observed with MK2, supporting selective detection of the p38-regulated stress kinase MAPKAPK5 / PRAK.
PRAK Antibody Stress Signaling IP. Immunoprecipitation analysis using goat polyclonal PRAK antibody Cat. # R36080 (1.5 ug) was performed on lysates from PRAK/ERK3 double knockout mouse embryonic fibroblasts with and without rescued PRAK expression following retroviral transduction. Immunoblot detection with an unrelated PRAK antibody identifies a restored band near 50 kDa in rescued samples, supporting selective immunoprecipitation of MAPKAPK5 / PRAK, a p38-regulated stress-response kinase involved in cellular adaptation pathways.
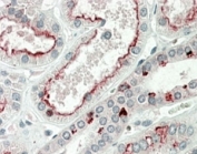
PRAK Antibody Kidney IHC. Immunohistochemistry analysis of FFPE human kidney tissue stained with goat polyclonal PRAK antibody at 5 ug/ml. Following HIER in pH 6 citrate buffer, distinct AP-red cytoplasmic and apical staining is observed in renal tubular epithelial cells, consistent with expression of MAPKAPK5 / PRAK, a p38-regulated stress kinase involved in cellular adaptation and stress-responsive signaling pathways.
Availability 1-3 business days
Species Reactivity Human, Mouse
Predicted Reactivity Rat, Dog, Pig, Cow
Format Antigen affinity purified
Host Goat
Clonality Polyclonal (goat origin)
Isotype Goat Ig
Purity Antigen affinity
Gene ID 8550
Applications Western Blot : 0.5-1.5ug/ml
Immunohistochemistry (FFPE) : 4-8ug/ml
Immunoprecipitation : suitable
ELISA (peptide) LOD : 1:32000
Limitations This PRAK Antibody / p38-Regulated Stress Kinase is available for research use only.
Review this product on BioCompare and get a $20 Amazon gift card

Related Products

  • Applications : WB (transfected), ELISA (peptide), IP, IHC
    Reactivity : Human, Mouse
    Pred. Reactivity : Rat, Dog, Pig, Cow

Description

p38-regulated and activated protein kinase (PRAK) is a serine/threonine kinase encoded by the MAPKAPK5 gene and functions as a downstream effector within stress-activated MAP kinase signaling pathways. PRAK Antibody / p38-Regulated Stress Kinase is useful for studying cellular stress responses, inflammatory signaling, senescence, migration, and MAPK-dependent signal transduction. PRAK, also commonly known as MK5 or MAPK-activated protein kinase 5, participates in signaling networks linked to p38 MAPK, ERK3, and ERK4 pathway activity.

PRAK antibody, also referred to as MAPKAPK5 antibody, MK5 antibody, or p38-regulated protein kinase antibody in the literature, recognizes a kinase activated in response to environmental stressors including oxidative stress, inflammatory cytokines, UV exposure, and cellular injury. PRAK contributes to phosphorylation-dependent regulation of downstream substrates involved in cytoskeletal remodeling, transcriptional regulation, and stress adaptation. The kinase has been associated with pathways regulating cellular senescence, tumor suppression, and migration-related signaling responses.

PRAK localizes primarily within the cytoplasm under basal conditions but may redistribute between cytoplasmic and nuclear compartments following stress activation. The kinase interacts functionally with atypical MAP kinases ERK3 and ERK4 and contributes to regulation of actin organization and stress-responsive transcriptional pathways. PRAK signaling has additionally been implicated in inflammatory disease, cancer progression, and cellular adaptation to metabolic or oxidative stress conditions.

MAPKAPK5 participates in signaling networks associated with p38-mediated stress adaptation and downstream kinase activation. PRAK has been linked to regulation of p53-associated senescence pathways, cytoskeletal dynamics, and cellular motility. Because stress kinase signaling contributes broadly to inflammation, tumor biology, and cellular survival responses, PRAK remains an important target in studies of MAP kinase pathway regulation and stress-induced signaling mechanisms.

PRAK is encoded on human chromosome 12q24 and produces a conserved serine/threonine kinase containing catalytic and regulatory domains characteristic of MAP kinase-activated protein kinases. The protein functions closely with p38 MAPK family members and atypical MAP kinases involved in stress-responsive signaling networks. In immunohistochemistry studies, PRAK expression may demonstrate cytoplasmic, membranous, or nuclear-associated staining patterns depending on cell type and activation state.

This goat polyclonal PRAK antibody has been supported using knockout, rescue, overexpression, and immunoprecipitation validation approaches to confirm selective target detection in research applications. Validation studies demonstrate specific recognition of endogenous PRAK/MAPKAPK5 with reduced signal in knockout samples and restored expression following rescue experiments. Additional studies support selective detection relative to related MAP kinase family members, including MK5-associated signaling complexes.

This antibody is part of a collection of knockdown validated antibodies that have been functionally assessed using gene silencing approaches to support target-specific detection.

Application Notes

Optimal dilution of the PRAK Antibody / p38-Regulated Stress Kinase should be determined by the researcher.

Immunogen

Amino acids STEALDNVLPSAQ were used as the immunogen for this PRAK antibody.

Storage

Aliquot and store the PRAK antibody at -20oC.

Alternate Names

MAPKAPK5 antibody, MK5 antibody, p38-regulated protein kinase antibody, MAP kinase-activated protein kinase 5 antibody, PRAK stress kinase antibody

Cross
Bulk Quote Request Form
Name*:
Organization*:
Email*:
Phone Number*:
Catalog No.*:
Comments and Specifics(amount, formulation, etc.)*:
Validation code: Captchapackage Image


Can't read the image? click here to refresh.
    *required field

Your bulk quote request has been submitted successfully!

Please contact us if you have any questions.