• Tel: 858.663.9055
  • SeparatorEmail: info@nsjbio.com
  • Tel: 858.663.9055
  • Email: info@nsjbio.com
Home >> Antibodies >> MAPKAPK5 Antibody / ERK3 Signaling Kinase

MAPKAPK5 Antibody / ERK3 Signaling Kinase (R35126)

  Catalog No Formulation Size Price (USD)  
Image R35126-100UG 0.5 mg/ml in 1X TBS, pH7.3, with 0.5% BSA (US sourced) and 0.02% sodium azide 100 ug 475
Bulk quote request
MAPKAPK5 Antibody Overexpression WB. Western blot testing of HEK293 cell lysates expressing mouse MK5 / PRAK or mouse MK2 using goat polyclonal MAPKAPK5 antibody Cat. # R35126 (0.5 ug/ml). The antibody recognizes a prominent band corresponding to MK5/PRAK-GFP while showing minimal signal in MK2-expressing lysates, supporting selective detection of MAP kinase-activated protein kinase 5 / PRAK relative to the related MK2 kinase.
MAPKAPK5 Antibody ERK3 Pathway Specificity WB. Western blot testing of HEK293 cell lysates expressing mouse MK5 / PRAK or mouse MK2 using goat polyclonal MAPKAPK5 antibody Cat. # R35126 (0.5 ug/ml). The antibody selectively recognizes the MK5/PRAK-GFP fusion protein near 90 kDa while showing minimal signal in MK2-expressing lysates, supporting specific detection of MAPKAPK5 / PRAK, an ERK3-associated signaling kinase involved in atypical MAP kinase pathway regulation.
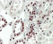
MAPKAPK5 Antibody Kidney IHC. Immunohistochemistry analysis of FFPE human kidney tissue stained with goat polyclonal MAPKAPK5 antibody at 5 ug/ml. Following HIER in pH 6 citrate buffer, prominent AP-red nuclear staining is observed in renal tubular epithelial cells, consistent with the known stress-responsive and ERK3-associated signaling functions of MAPKAPK5 / PRAK.
Availability 1-3 business days
Species Reactivity Human, Mouse
Predicted Reactivity Rat, Dog, Pig, Cow
Format Antigen affinity purified
Host Goat
Clonality Polyclonal (goat origin)
Isotype Goat Ig
Purity Antigen affinity
Gene ID 8550
Applications Western Blot : 0.5-1.5ug/ml
Immunohistochemistry (FFPE) : 4-8ug/ml
Immunoprecipitation : suitable
ELISA (peptide) LOD : 1:64000
Limitations This MAPKAPK5 Antibody / ERK3 Signaling Kinase is available for research use only.
Review this product on BioCompare and get a $20 Amazon gift card

Related Products

  • Applications : WB (transfected), ELISA (peptide), IP, IHC
    Reactivity : Human, Mouse
    Pred. Reactivity : Rat, Dog, Pig, Cow

Description

MAP kinase-activated protein kinase 5 (MAPKAPK5) is a stress-responsive serine/threonine kinase encoded by the MAPKAPK5 gene and functions within signaling pathways associated with ERK3, ERK4, and p38 MAP kinase activity. MAPKAPK5 Antibody / ERK3 Signaling Kinase is useful for studying atypical MAP kinase signaling, cellular stress adaptation, migration pathways, and kinase-mediated transcriptional regulation. MAPKAPK5 is commonly referred to as PRAK or MK5 and serves as an important downstream signaling intermediate in stress-responsive cellular networks.

MAPKAPK5 antibody, also known as PRAK antibody or MK5 antibody in published studies, recognizes a kinase that interacts closely with atypical MAP kinases ERK3 and ERK4. These signaling interactions contribute to regulation of cytoskeletal organization, cellular motility, senescence pathways, and stress-responsive gene expression. PRAK has additionally been implicated in inflammatory signaling, tumor suppression, and adaptation to oxidative or metabolic stress conditions.

MAPKAPK5 demonstrates dynamic intracellular localization and may shuttle between cytoplasmic and nuclear compartments depending on activation state and signaling context. Nuclear-associated PRAK activity has been linked to transcriptional regulation and stress-responsive signaling mechanisms, while cytoplasmic signaling contributes to actin remodeling and migration-associated pathways. The kinase therefore occupies a central role connecting atypical MAP kinase signaling with cellular stress adaptation and survival responses.

PRAK signaling has been investigated in cancer biology, inflammatory disease, senescence, and cellular responses to environmental stress. The kinase participates in pathways associated with p53 regulation, cytoskeletal dynamics, and kinase-mediated control of stress-responsive transcriptional programs. Because ERK3-associated signaling networks remain comparatively understudied relative to canonical MAP kinase pathways, MAPKAPK5 represents an important target for mechanistic studies of atypical MAP kinase biology.

MAPKAPK5 is encoded on chromosome 12q24 and produces a conserved serine/threonine kinase containing regulatory and catalytic motifs characteristic of MAP kinase-activated protein kinases. The protein functions in concert with ERK3, ERK4, and p38-associated signaling intermediates involved in stress adaptation and cellular regulation.

This goat polyclonal MAPKAPK5 antibody has been supported using knockout, rescue, overexpression, and immunoprecipitation validation methods to support selective endogenous PRAK detection in research applications. Knockout and rescue studies demonstrate specific detection of MAPKAPK5 in genetically modified cell systems, while overexpression experiments support selective recognition relative to related kinase family members. These validation approaches support use of the antibody in studies of ERK3-associated signaling and atypical MAP kinase pathway biology.

For broader analysis of PRAK biology and p38-mediated stress signaling pathways, explore the PRAK Antibody / p38-Regulated Stress Kinase page featuring expanded validation data for endogenous MAPKAPK5 detection and stress-response kinase pathway research.

Application Notes

Optimal dilution of the MAPKAPK5 Antibody / ERK3 Signaling Kinase should be determined by the researcher.

Immunogen

Amino acids PQVLEAQRRHQKEKS were used as the immunogen for this PRAK antibody.

Storage

Aliquot and store the PRAK antibody at -20oC.

Alternate Names

PRAK antibody, MK5 antibody, MAP kinase-activated protein kinase 5 antibody, ERK3-associated kinase antibody, MAPKAPK5 stress signaling antibody

Cross
Bulk Quote Request Form
Name*:
Organization*:
Email*:
Phone Number*:
Catalog No.*:
Comments and Specifics(amount, formulation, etc.)*:
Validation code: Captchapackage Image


Can't read the image? click here to refresh.
    *required field

Your bulk quote request has been submitted successfully!

Please contact us if you have any questions.