• Tel: 858.663.9055
  • SeparatorEmail: info@nsjbio.com
  • Tel: 858.663.9055
  • Email: info@nsjbio.com
Home >> Antibodies >> PPP3R1 Antibody / Calcineurin B

PPP3R1 Antibody / Calcineurin B [clone CALNB/2342] (V8030)

  Catalog No Formulation Size Price (USD)  
Image V8030-100UG 0.2 mg/ml in 1X PBS with 0.1 mg/ml BSA (US sourced) and 0.05% sodium azide 100 ug 559
Image
V8030-20UG 0.2 mg/ml in 1X PBS with 0.1 mg/ml BSA (US sourced) and 0.05% sodium azide 20 ug 259
Image
V8030SAF-100UG 1 mg/ml in 1X PBS; BSA free, sodium azide free 100 ug 559
Bulk quote request
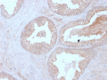
IHC staining of FFPE human prostate carcinoma with PPP3R1 antibody (clone CALNB/2342). HIER: boil tissue sections in pH 9 10mM Tris with 1mM EDTA for 20 min and allow to cool before testing.
Availability 1-3 business days
Species Reactivity Human
Format Purified
Host Mouse
Clonality Monoclonal (mouse origin)
Isotype Mouse IgG1, kappa
Clone Name CALNB/2342
Purity Protein G affinity chromatography
UniProt P63098
Localization Cytoplasmic
Applications Immunohistochemistry (FFPE) : 1-2ug/ml
Limitations This PPP3R1 antibody is available for research use only.
Review this product on BioCompare and get a $20 Amazon gift card

Related Products

Description

Calcineurin is an enzyme that dephosphorylates serine and threonine residues in proteins. It is a heterodimer of a 59kDa catalytic A subunit and a 19kDa regulatory B subunit that is activated by the binding of calcium ions and calmodulin. Calcineurin is expressed in many tissues, but its levels are highest in the brain, where it may play a role in learning and memory. It has many substrates, including NFAT, a transcription factor that is activated by dephosphorylation. Complexes of the immuno-suppressants cyclosporine and FK506 with immunophilin proteins such as cyclophilin and FKBP12 are potent and specific inhibitors of Calcineurin activity. Alterations in Calcineurin activity are suspected to play a role in cardiac hypertrophy and graft versus host disease in organ transplantation.

Application Notes

Optimal dilution of the PPP3R1 antibody should be determined by the researcher.

Immunogen

A recombinant full-length human Calcineurin B protein was used as the immunogen for the PPP3R1 antibody.

Storage

Store the PPP3R1 antibody at 2-8oC (with azide) or aliquot and store at -20oC or colder (without azide).

Cross
Bulk Quote Request Form
Name*:
Organization*:
Email*:
Phone Number*:
Catalog No.*:
Comments and Specifics(amount, formulation, etc.)*:
Validation code: Captchapackage Image


Can't read the image? click here to refresh.
    *required field

Your bulk quote request has been submitted successfully!

Please contact us if you have any questions.