• Tel: 858.663.9055
  • SeparatorEmail: info@nsjbio.com
  • Tel: 858.663.9055
  • Email: info@nsjbio.com
Home >> Antibodies >> PPP3CC Antibody

PPP3CC Antibody (F40178)

  Catalog No Formulation Size Price (USD)  
Image F40178-0.4ML In 1X PBS, pH 7.4, with 0.09% sodium azide 0.4 ml 439
Image
F40178-0.08ML In 1X PBS, pH 7.4, with 0.09% sodium azide 0.08 ml 205
Bulk quote request
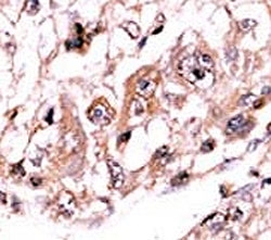
IHC analysis of FFPE human hepatocarcinoma stained with the PPP3CC antibody
Western blot analysis of PPP3CC antibody and A375 lysate
Availability 1-3 business days
Species Reactivity Human
Format Purified
Host Rabbit
Clonality Polyclonal (rabbit origin)
Isotype Rabbit Ig
Purity Purified
UniProt P48454
Applications IHC (Paraffin) : 1:50-1:100
Western Blot : 1:1000
Limitations This PPP3CC antibody is available for research use only.
Review this product on BioCompare and get a $20 Amazon gift card

Related Products

  • Applications : WB, IHC, ELISA
    Reactivity : Human

Description

Calmodulin-dependent protein phosphatase, calcineurin, is involved in a wide range of biologic activities, acting as a Ca(2+)-dependent modifier of phosphorylation status. In testis, the motility of the sperm is thought to be controlled by cAMP-dependent phosphorylation and a unique form of calcineurin appears to be associated with the flagellum. The calcineurin holoenzyme is composed of catalytic and regulatory subunits of 60 and 18 kD, respectively. At least 3 genes, calcineurin A-alpha, calcineurin A-beta, and calcineurin A-gamma, have been cloned for the catalytic subunit. These genes have been identified in humans, mice, and rats, and are highly conserved between species (90 to 95% amino acid identity).

Application Notes

Titration of the PPP3CC antibody may be required due to differences in protocols and secondary/substrate sensitivity.

Immunogen

A portion of amino acids 482-512 from the human protein was used as the immunogen for this PPP3CC antibody.

Storage

Aliquot the PPP3CC antibody and store frozen at -20oC or colder. Avoid repeated freeze-thaw cycles.

Cross
Bulk Quote Request Form
Name*:
Organization*:
Email*:
Phone Number*:
Catalog No.*:
Comments and Specifics(amount, formulation, etc.)*:
Validation code: Captchapackage Image


Can't read the image? click here to refresh.
    *required field

Your bulk quote request has been submitted successfully!

Please contact us if you have any questions.