• Tel: 858.663.9055
  • SeparatorEmail: info@nsjbio.com
  • Tel: 858.663.9055
  • Email: info@nsjbio.com
Home >> Antibodies >> PPP2R5A Antibody

PPP2R5A Antibody (R33199)

  Catalog No Formulation Size Price (USD)  
Image R33199-100UG 0.5 mg/ml in 1X TBS, pH7.3, with 0.5% BSA (US sourced) and 0.02% sodium azide 100 ug 475
Bulk quote request
Western blot testing of human muscle lysate with PPP2R5A antibody at 0.5ug/ml. Predicted molecular weight: ~56kDa.
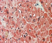
IHC staining of FFPE human heart with PPP2R5A antibody at 5ug/ml. HIER: steamed with pH6 citrate buffer, AP-staining.
Availability 1-3 business days
Species Reactivity Human
Predicted Reactivity Cow, Dog, Pig, Rat
Format Antigen affinity purified
Host Goat
Clonality Polyclonal (goat origin)
Isotype Goat Ig
Purity Antigen affinity
Gene ID 5525
Applications Western Blot : 0.5-2ug/ml
Immunohistochemistry (FFPE) : 5-10ug/ml
ELISA (peptide) LOD : 1:32000
Limitations This PPP2R5A antibody is available for research use only.
Review this product on BioCompare and get a $20 Amazon gift card

Related Products

  • Applications : WB, IF, Direct ELISA
    Reactivity : Human

Description

Additional name(s) for this target protein: Protein phosphatase 2, regulatory subunit B (B56), alpha

Application Notes

Optimal dilution of the PPP2R5A antibody should be determined by the researcher.

Immunogen

Amino acids AYNMHSILSNTSAE were used as the immunogen for this PPP2R5A antibody.

Storage

Aliquot and store the PPP2R5A antibody at -20oC.

Cross
Bulk Quote Request Form
Name*:
Organization*:
Email*:
Phone Number*:
Catalog No.*:
Comments and Specifics(amount, formulation, etc.)*:
Validation code: Captchapackage Image


Can't read the image? click here to refresh.
    *required field

Your bulk quote request has been submitted successfully!

Please contact us if you have any questions.