• Tel: 858.663.9055
  • SeparatorEmail: info@nsjbio.com
  • Tel: 858.663.9055
  • Email: info@nsjbio.com
Home >> Antibodies >> PPP1R8 Antibody / Protein phosphatase 1 regulatory subunit 8

PPP1R8 Antibody / Protein phosphatase 1 regulatory subunit 8 (FY12457)

  Catalog No Formulation Size Price (USD)  
Image FY12457 Adding 0.2 ml of distilled water will yield a concentration of 500 ug/ml 100 ug 449
Bulk quote request
Immunofluorescent staining of PPP1R8 using anti-PPP1R8 antibody (red). PPP1R8 was detected in a paraffin-embedded section of human pancreatic cancer tissue. Heat mediated antigen retrieval was performed in EDTA buffer (pH 8.0, epitope retrieval solution). The tissue section was blocked with 10% goat serum. The tissue section was then incubated with 5 ug/ml rabbit anti-PPP1R8 antibody overnight at 4oC. Cy3 Conjugated Goat Anti-Rabbit IgG was used as secondary antibody at 1:500 dilution and incubated for 30 minutes at 37oC. The section was counterstained with DAPI nuclear stain (blue). Visualize using a fluorescence microscope and filter sets appropriate for the label used.
Western blot analysis of PPP1R8 using anti-PPP1R8 antibody. Electrophoresis was performed on a 10% SDS-PAGE gel at 80V (Stacking gel) / 120V (Resolving gel) for 2 hours. Lane 1: human PC-3 whole cell lysates, Lane 2: human HepG2 whole cell lysates, Lane 3: human Hela whole cell lysates, Lane 4: human Jurkat whole cell lysates, Lane 5: rat heart tissue lysates, Lane 6: mouse heart tissue lysates. After electrophoresis, proteins were transferred to a nitrocellulose membrane at 150 mA for 50-90 minutes. Blocked the membrane with 5% non-fat milk/TBS for 1.5 hour at RT. The membrane was incubated with rabbit anti-PPP1R8 antibody at 0.5 ug/ml overnight at 4oC, then washed with TBS-0.1%Tween 3 times with 5 minutes each and probed with a goat anti-rabbit IgG-HRP secondary antibody at a dilution of 1:5000 for 1.5 hour at RT. The signal was developed using an ECL Plus Western Blotting Substrate. The expected molecular weight of PPP1R8 is ~38 kDa.
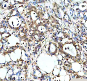
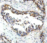
Immunohistochemical staining of PPP1R8 using anti-PPP1R8 antibody. PPP1R8 was detected in a paraffin-embedded section of human pancreas cancer tissue. Heat mediated antigen retrieval was performed in EDTA buffer (pH 8.0, epitope retrieval solution). The tissue section was blocked with 10% goat serum. The tissue section was then incubated with 2 ug/ml rabbit anti-PPP1R8 antibody overnight at 4oC. Peroxidase Conjugated Goat Anti-rabbit IgG was used as secondary antibody and incubated for 30 minutes at 37oC. The tissue section was developed using an HRP secondary and DAB substrate.
Immunofluorescent staining of PPP1R8 using anti-PPP1R8 antibody (green). PPP1R8 was detected in an immunocytochemical section of Hela cells. Enzyme antigen retrieval was performed using IHC enzyme antigen retrieval reagent for 15 mins. The cells were blocked with 10% goat serum. And then incubated with 5 ug/ml rabbit anti-PPP1R8 antibody overnight at 4oC. DyLight 488 Conjugated Goat Anti-Rabbit IgG was used as secondary antibody at 1:500 dilution and incubated for 30 minutes at 37oC. The section was counterstained with DAPI nuclear stain (blue). Visualize using a fluorescence microscope and filter sets appropriate for the label used.
Flow Cytometry analysis of HepG2 cells using anti-PPP1R8 antibody. Overlay histogram showing HepG2 cells stained with (Blue line). To facilitate intracellular staining, cells were fixed with 4% paraformaldehyde and permeabilized with permeabilization buffer. The cells were blocked with 10% normal goat serum. And then incubated with rabbit anti-PPP1R8 antibody (1 ug/million cells) for 30 min at 20oC. DyLight 488 conjugated goat anti-rabbit IgG (5-10 ug/million cells) was used as secondary antibody for 30 minutes at 20oC. Isotype control antibody (Green line) was rabbit IgG (1 ug/million cells) used under the same conditions. Unlabelled sample without incubation with primary antibody and secondary antibody (Red line) was used as a blank control.
Immunohistochemical staining of PPP1R8 using anti-PPP1R8 antibody. PPP1R8 was detected in a paraffin-embedded section of human pancreas cancer tissue. Heat mediated antigen retrieval was performed in EDTA buffer (pH 8.0, epitope retrieval solution). The tissue section was blocked with 10% goat serum. The tissue section was then incubated with 2 ug/ml rabbit anti-PPP1R8 antibody overnight at 4oC. Peroxidase Conjugated Goat Anti-rabbit IgG was used as secondary antibody and incubated for 30 minutes at 37oC. The tissue section was developed using an HRP secondary and DAB substrate.
Availability 1-2 days
Species Reactivity Human, Mouse, Rat
Format Lyophilized
Host Rabbit
Clonality Polyclonal (rabbit origin)
Isotype Rabbit IgG
Purity Immunogen affinity purified
Buffer Each vial contains 4 mg Trehalose, 0.9 mg NaCl, 0.2 mg Na2HPO4.
UniProt Q12972
Localization Nuclear, cytoplasmic
Applications Western Blot : 0.25-0.5ug/ml
Immunohistochemistry : 2-5ug/ml
Immunocytochemistry/Immunofluorescence : 5ug/ml
Immunofluorescence : 5ug/ml
Flow Cytometry : 1-3ug/million cells
ELISA : 0.1-0.5ug/ml
Limitations This PPP1R8 antibody is available for research use only.
Review this product on BioCompare and get a $20 Amazon gift card

Description

PPP1R8 antibody detects Protein phosphatase 1 regulatory subunit 8, also known as Nuclear inhibitor of protein phosphatase-1 (NIPP1), a multifunctional nuclear protein that regulates the activity of protein phosphatase 1 (PP1). PPP1R8 modulates pre-mRNA splicing, transcription, and DNA damage responses through its interaction with PP1 catalytic subunits and RNA-binding proteins. The PPP1R8 antibody is a valuable tool for investigating phosphatase regulation, RNA processing, and nuclear signaling pathways associated with gene expression and chromatin remodeling.

PPP1R8 is encoded by the PPP1R8 gene on human chromosome 1p35.1. The protein contains a central PP1-binding motif (RVXF) that mediates association with PP1, a forkhead-associated (FHA) domain involved in phosphoprotein recognition, and a nuclear localization signal. PPP1R8 functions as both an inhibitor and targeting subunit of PP1, directing its activity toward specific nuclear substrates such as splicing factors and transcriptional regulators. It also participates in the regulation of cell cycle progression and DNA replication by modulating the phosphorylation state of histones and replication proteins.

Studies using the PPP1R8 antibody have shown that the protein localizes predominantly to the nucleus, with strong accumulation in speckle-like structures associated with RNA splicing. Western blot analysis typically detects bands near 35-40 kDa corresponding to the primary isoform, although multiple splice variants exist. PPP1R8 interacts with CDC5L, SNW1, and other components of the spliceosome complex, underscoring its integral role in pre-mRNA processing. In addition to RNA metabolism, PPP1R8 regulates transcription by interacting with Polycomb repressive complex proteins and influencing histone methylation states.

Functionally, PPP1R8 acts as a checkpoint in cellular stress responses and may modulate signaling cascades involving Akt and MAP kinases. Dysregulation has been implicated in cancer and neurodegenerative disorders through its impact on protein phosphorylation balance and gene expression. NSJ Bioreagents provides a validated PPP1R8 antibody optimized for western blot, immunofluorescence, and immunohistochemistry, supporting detailed investigation of PP1 regulation, splicing control, and nuclear phosphoprotein networks.

Application Notes

Optimal dilution of the PPP1R8 antibody should be determined by the researcher.

Immunogen

E.coli-derived human PPP1R8 recombinant protein (Position: L27-N312) was used as the immunogen for the PPP1R8 antibody.

Storage

After reconstitution, the PPP1R8 antibody can be stored for up to one month at 4oC. For long-term, aliquot and store at -20oC. Avoid repeated freezing and thawing.

Cross
Bulk Quote Request Form
Name*:
Organization*:
Email*:
Phone Number*:
Catalog No.*:
Comments and Specifics(amount, formulation, etc.)*:
Validation code: Captchapackage Image


Can't read the image? click here to refresh.
    *required field

Your bulk quote request has been submitted successfully!

Please contact us if you have any questions.