• Tel: 858.663.9055
  • SeparatorEmail: info@nsjbio.com
  • Tel: 858.663.9055
  • Email: info@nsjbio.com
Home >> Antibodies >> PPID Antibody / Peptidyl-prolyl cis-trans isomerase D

PPID Antibody / Peptidyl-prolyl cis-trans isomerase D (R30544)

  Catalog No Formulation Size Price (USD)  
Image R30544 0.5mg/ml if reconstituted with 0.2ml sterile DI water 100 ug 449
Bulk quote request
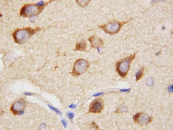
IHC staining of FFPE rat brain tissue with PPID antibody. HIER: boil tissue sections in pH8 EDTA for 20 min and allow to cool before testing.
Western blot testing of 1) human K562, 2) human HEL, 3) human Jurkat, 4) human MOLT-4, 5) human PC-3, 6) human HL60, 7) human ThP-1, 8) rat liver and 9) mouse liver tissue lysate with PPID antibody. Predicted molecular weight ~40 kDa.
Availability 1-3 business days
Species Reactivity Human, Mouse, Rat
Format Antigen affinity purified
Host Rabbit
Clonality Polyclonal (rabbit origin)
Isotype Rabbit IgG
Purity Antigen affinity
Buffer Lyophilized from 1X PBS with 2.5% BSA and 0.025% sodium azide/thimerosal
UniProt Q08752
Localization Cytoplasmic, nuclear
Applications Western Blot : 0.5-1ug/ml
Immunohistochemistry (FFPE) : 0.5-1ug/ml
Limitations This PPID antibody is available for research use only.
Review this product on BioCompare and get a $20 Amazon gift card

Related Products

Description

Peptidyl-prolyl cis-trans isomerase D, also known as PPID and Cyclophilin 40, is an enzyme which in humans is encoded by the PPID gene. The protein encoded by this gene is a member of the peptidyl-prolyl cis-trans isomerase(PPIase) family. The gene contains 10 exons and spans 14.2 kb of genomic DNA. By fluorescence in situ hybridization, the PPID gene is mapped to chromosome 4q31.3. PPIases catalyze the cis-trans isomerization of proline imidic peptide bonds in oligopeptides and accelerate the folding of proteins. This protein has been shown to possess PPIase activity and, similar to other family members, can bind to the immunosuppressant ciclosporin.

Application Notes

The stated application concentrations are suggested starting amounts. Titration of the PPID antibody may be required due to differences in protocols and secondary/substrate sensitivity.

Immunogen

Amino acids 351-370 (KQKIKAQKDKEKAVYAKMFA-human) were used as the immunogen for this PPID antibody.

Storage

After reconstitution, the PPID antibody can be stored for up to one month at 4oC. For long-term, aliquot and store at -20oC. Avoid repeated freezing and thawing.

Cross
Bulk Quote Request Form
Name*:
Organization*:
Email*:
Phone Number*:
Catalog No.*:
Comments and Specifics(amount, formulation, etc.)*:
Validation code: Captchapackage Image


Can't read the image? click here to refresh.
    *required field

Your bulk quote request has been submitted successfully!

Please contact us if you have any questions.