• Tel: 858.663.9055
  • SeparatorEmail: info@nsjbio.com
  • Tel: 858.663.9055
  • Email: info@nsjbio.com
Home >> Antibodies >> PPCS Antibody / Phosphopantothenoylcysteine synthetase

PPCS Antibody / Phosphopantothenoylcysteine synthetase (RQ4952)

  Catalog No Formulation Size Price (USD)  
Image RQ4952 0.5mg/ml if reconstituted with 0.2ml sterile DI water 100 ug 449
Bulk quote request
Western blot testing of human 1) HeLa, 2) placenta and 3) PC-3 lysate with PPCS antibody at 0.5ug/ml. Predicted molecular weight ~34 kDa.
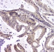
IHC staining of FFPE human intestinal cancer with PPCS antibody at 1ug/ml. HIER: boil tissue sections in pH6, 10mM citrate buffer, for 10-20 min and allow to cool before testing.
Flow cytometry testing of human A431 cells with PPCS antibody at 1ug/10^6 cells (blocked with goat sera); Red=cells alone, Green=isotype control, Blue= PPCS antibody.
IF/ICC staining of FFPE human A549 cells with PPCS antibody (green) at 2ug/ml. HIER: steam section in pH6 citrate buffer for 20 min.
IF/ICC staining of FFPE human A431 cells with PPCS antibody (green) at 2ug/ml. HIER: steam section in pH6 citrate buffer for 20 min.
IHC staining of FFPE mouse small intestine with PPCS antibody at 1ug/ml. HIER: boil tissue sections in pH6, 10mM citrate buffer, for 10-20 min and allow to cool before testing.
IHC staining of FFPE rat small intestine with PPCS antibody at 1ug/ml. HIER: boil tissue sections in pH6, 10mM citrate buffer, for 10-20 min and allow to cool before testing.
Availability 1-3 business days
Species Reactivity Human
Format Antigen affinity purified
Host Rabbit
Clonality Polyclonal (rabbit origin)
Isotype Rabbit IgG
Purity Antigen affinity purified
Buffer Lyophilized from 1X PBS with 2% Trehalose and 0.025% sodium azide
UniProt Q9HAB8
Localization Cytoplasmic
Applications Western Blot : 0.5-1ug/ml
Immunohistochemistry (FFPE) : 1-2ug/ml
Flow Cytometry : 1-3ug/10^6 cells
Immunofluorescence/Immunocytochemistry : 2-4ug/ml
Limitations This PPCS antibody is available for research use only.
Review this product on BioCompare and get a $20 Amazon gift card

Related Products

Description

Phosphopantothenoylcysteine synthetase in humans is encoded by the PPCS gene. Biosynthesis of coenzyme A (CoA) from pantothenic acid (vitamin B5) is an essential universal pathway in prokaryotes and eukaryotes. PPCS, one of the last enzymes in this pathway, converts phosphopantothenate to phosphopantothenoylcysteine. By genomic sequence analysis, this PPCS gene ia mapped to chromosome 1.

Application Notes

Optimal dilution of the PPCS antibody should be determined by the researcher.

Immunogen

Amino acids VEIEEKIVDNLQSRHTAFIGDRN from the human protein were used as the immunogen for the PPCS antibody.

Storage

After reconstitution, the PPCS antibody can be stored for up to one month at 4oC. For long-term, aliquot and store at -20oC. Avoid repeated freezing and thawing.

Cross
Bulk Quote Request Form
Name*:
Organization*:
Email*:
Phone Number*:
Catalog No.*:
Comments and Specifics(amount, formulation, etc.)*:
Validation code: Captchapackage Image


Can't read the image? click here to refresh.
    *required field

Your bulk quote request has been submitted successfully!

Please contact us if you have any questions.