• Tel: 858.663.9055
  • SeparatorEmail: info@nsjbio.com
  • Tel: 858.663.9055
  • Email: info@nsjbio.com
Home >> Antibodies >> PPAR gamma Antibody / PPARG

PPAR gamma Antibody / PPARG [clone 31P97] (FY12851)

  Catalog No Formulation Size Price (USD)  
Image FY12851 Rabbit IgG in phosphate buffered saline, pH 7.4, 150mM NaCl, 0.02% sodium azide and 50% glycerol, 0.4-0.5mg/ml BSA 100 ul 449
Microvalidated Recrabbitmono
Bulk quote request
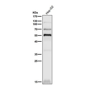
Human HepG2 cell lysate western blot tested with the PPAR gamma antibody at 1:3000 dilution for 1 hour at room temperature. Predicted molecular weight: 54-57 kDa.
Western blot analysis of PPAR gamma expression in human HeLa cell lysate using PPAR gamma antibody. Predicted molecular weight: 54-57 kDa.
Availability 2-3 weeks
Species Reactivity Human
Format Liquid
Host Rabbit
Clonality Recombinant Rabbit Monoclonal
Isotype Rabbit IgG
Clone Name 31P97
Purity Affinity chromatography
Buffer Rabbit IgG in phosphate buffered saline, pH 7.4, 150mM NaCl, 0.02% sodium azide and 50% glycerol, 0.4-0.5mg/ml BSA.
UniProt P37231
Applications Western Blot : 1:500-1:2000
Immunocytochemistry/Immunofluorescence : 1:50-1:200
Flow Cytometry : 1:50
Limitations This PPAR gamma antibody is available for research use only.
Review this product on BioCompare and get a $20 Amazon gift card

Related Products

Description

PPAR gamma antibody targets peroxisome proliferator activated receptor gamma, a nuclear receptor encoded by the PPARG gene. PPAR gamma functions as a ligand activated transcription factor and plays essential roles in adipocyte differentiation, glucose metabolism, and lipid storage. It binds to specific DNA sequences as a heterodimer with RXR, regulating genes involved in insulin sensitivity, fatty acid uptake, and inflammatory responses.

PPAR gamma exists in at least two isoforms, PPAR gamma 1 and PPAR gamma 2, which differ in tissue distribution and regulatory control. PPAR gamma 1 is broadly expressed, while PPAR gamma 2 is more adipocyte specific. Both isoforms are activated by endogenous ligands such as prostaglandin derivatives and polyunsaturated fatty acids, as well as synthetic ligands like thiazolidinediones. These synthetic agonists have been widely used as antidiabetic medications, making PPAR gamma antibody an important reagent in metabolic disease research.

The receptor is also implicated in cancer biology. PPAR gamma can regulate cell cycle arrest, apoptosis, and differentiation. Studies using PPAR gamma antibody have shown altered expression in breast, colon, and prostate cancers. Inflammation research has further demonstrated that PPAR gamma modulates immune responses by suppressing pro inflammatory cytokine production in macrophages and T cells.

Detection of PPAR gamma with PPAR gamma antibody is routinely carried out in western blotting, immunohistochemistry, and chromatin immunoprecipitation. Western blotting reveals isoform specific expression, while immunohistochemistry highlights nuclear localization. Chromatin immunoprecipitation assays combined with next generation sequencing have uncovered PPAR gamma binding sites across the genome, providing insights into transcriptional networks controlling energy homeostasis.

PPAR gamma remains a therapeutic target for type 2 diabetes, obesity, and cardiovascular disease. Researchers rely on PPAR gamma antibody to study receptor expression, ligand responsiveness, and downstream signaling changes under physiological and pathological conditions. Availability of validated antibodies such as those from NSJ Bioreagents supports reproducible discovery in metabolic research and drug development.

Application Notes

Optimal dilution of the PPAR gamma antibody should be determined by the researcher.

Immunogen

A synthesized peptide derived from human PPAR gamma was used as the immunogen for the PPAR gamma antibody.

Storage

Store the PPAR gamma antibody at -20oC.

Cross
Bulk Quote Request Form
Name*:
Organization*:
Email*:
Phone Number*:
Catalog No.*:
Comments and Specifics(amount, formulation, etc.)*:
Validation code: Captchapackage Image


Can't read the image? click here to refresh.
    *required field

Your bulk quote request has been submitted successfully!

Please contact us if you have any questions.