• Tel: 858.663.9055
  • SeparatorEmail: info@nsjbio.com
  • Tel: 858.663.9055
  • Email: info@nsjbio.com
Home >> Antibodies >> PPAR alpha Antibody / PPARA

PPAR alpha Antibody / PPARA (RQ7286)

  Catalog No Formulation Size Price (USD)  
Image RQ7286 0.5mg/ml if reconstituted with 0.2ml sterile DI water 100 ug 449
Bulk quote request
Flow cytometry testing of human HepG2 cells with PPAR alpha antibody at 1ug/million cells (blocked with goat sera); Red=cells alone, Green=isotype control, Blue= PPAR alpha antibody.
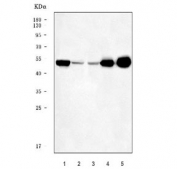
Western blot testing of 1) human HepG2, 2) human HeLa, 3) human MCF7, 4) rat liver and 5) mouse liver tissue lysate with PPAR alpha antibody. Predicted molecular weight ~52 kDa.
Availability 1-3 business days
Species Reactivity Human, Mouse, Rat
Format Antigen affinity purified
Host Rabbit
Clonality Polyclonal (rabbit origin)
Isotype Rabbit IgG
Purity Antigen affinity purified
Buffer Lyophilized from 1X PBS with 2% Trehalose
UniProt Q07869
Applications Western Blot : 0.5-1ug/ml
Flow Cytometry : 1-3ug/million cells
Direct ELISA : 0.1-0.5ug/ml
Limitations This PPAR alpha antibody is available for research use only.
Review this product on BioCompare and get a $20 Amazon gift card

Related Products

Description

Peroxisome proliferator-activated receptor alpha (PPAR-alpha), also known as NR1C1 (Nuclear receptor subfamily 1, group C, member 1), is a nuclear receptor protein that in humans is encoded by the PPARA gene. PPARA gene spans 83.7 kb and contains 8 exons. And the PPAR gene is mapped to chromosome 22q12-q13.1. Sher et al.(1993) cloned a cDNA for human peroxisome proliferator-activated receptor from a human liver cDNA library. The PPAR cDNA exhibited 85% and 91% DNA and deduced amino acid sequence identity, respectively, with mouse PPAR. PPAR-alpha is a transcription factor and a major regulator of lipid metabolism in the liver.

Application Notes

Optimal dilution of the PPAR alpha antibody should be determined by the researcher.

Immunogen

Recombinant human protein (amino acids M1-L426) was used as the immunogen for the PPAR alpha antibody.

Storage

After reconstitution, the PPAR alpha antibody can be stored for up to one month at 4oC. For long-term, aliquot and store at -20oC. Avoid repeated freezing and thawing.

Cross
Bulk Quote Request Form
Name*:
Organization*:
Email*:
Phone Number*:
Catalog No.*:
Comments and Specifics(amount, formulation, etc.)*:
Validation code: Captchapackage Image


Can't read the image? click here to refresh.
    *required field

Your bulk quote request has been submitted successfully!

Please contact us if you have any questions.