• Tel: 858.663.9055
  • SeparatorEmail: info@nsjbio.com
  • Tel: 858.663.9055
  • Email: info@nsjbio.com
Home >> Antibodies >> PP-X Antibody / PPP4C

PP-X Antibody / PPP4C (RQ8106)

  Catalog No Formulation Size Price (USD)  
Image RQ8106 0.5mg/ml if reconstituted with 0.2ml sterile DI water 100 ug 449
Bulk quote request
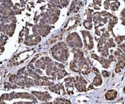
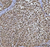
IHC staining of FFPE human lung cancer tissue with PP-X antibody. HIER: boil tissue sections in pH8 EDTA for 20 min and allow to cool before testing.
IHC staining of FFPE human invasive urothelial carcinoma of the bladder with squamous differentiation tissue with PP-X antibody. HIER: boil tissue sections in pH8 EDTA for 20 min and allow to cool before testing.
IHC staining of FFPE human breast cancer with PP-X antibody. HIER: boil tissue sections in pH8 EDTA for 20 min and allow to cool before testing.
IHC staining of FFPE human ovarian serous adenocarcinoma tissue with PP-X antibody. HIER: boil tissue sections in pH8 EDTA for 20 min and allow to cool before testing.
IHC staining of FFPE human skin squamous cell carcinoma tissue with PP-X antibody. HIER: boil tissue sections in pH8 EDTA for 20 min and allow to cool before testing.
Immunofluorescent staining of FFPE human U-2 OS cells with PP-X antibody (red) and Alpha Tubulin mAb (green). HIER: steam section in pH6 citrate buffer for 20 min.
Western blot testing of human 1) HeLa, 2) 293T, 3) Jurkat and 4) A431 cell lysate with PP-X antibody. Predicted molecular weight ~35 kDa.
Flow cytometry testing of fixed and permeabilized human MCF7 cells with PP-X antibody at 1ug/million cells (blocked with goat sera); Red=cells alone, Green=isotype control, Blue= PP-X antibody.
Availability 1-3 business days
Species Reactivity Human
Format Antigen affinity purified
Host Rabbit
Clonality Polyclonal (rabbit origin)
Isotype Rabbit IgG
Purity Antigen affinity purified
Buffer Lyophilized from 1X PBS with 2% Trehalose
UniProt P60510
Localization Cytoplasmic, nuclear
Applications Western Blot : 0.5-1ug/ml
Immunohistochemistry (FFPE) : 2-5ug/ml
Immunofluorescence : 5ug/ml
Flow Cytometry : 1-3ug/million cells
Direct ELISA : 0.1-0.5ug/ml
Limitations This PP-X antibody is available for research use only.
Review this product on BioCompare and get a $20 Amazon gift card

Related Products

  • Applications : WB, IHC, ELISA (peptide)
    Reactivity : Human, Rat
    Pred. Reactivity : Dog, Rabbit

Description

Serine/threonine-protein phosphatase 4 catalytic subunit, also called Protein phosphatase X (PP-X), is an enzyme that in humans is encoded by the PPP4C gene. Enables protein serine/threonine phosphatase activity. Involved in regulation of double-strand break repair via homologous recombination. Located in cytosol; nucleoplasm; and plasma membrane.

Application Notes

Optimal dilution of the PP-X antibody should be determined by the researcher.

Immunogen

E. coli-derived recombinant human protein (amino acids Q13-L307) was used as the immunogen for the PP-X antibody.

Storage

After reconstitution, the PP-X antibody can be stored for up to one month at 4oC. For long-term, aliquot and store at -20oC. Avoid repeated freezing and thawing.

Cross
Bulk Quote Request Form
Name*:
Organization*:
Email*:
Phone Number*:
Catalog No.*:
Comments and Specifics(amount, formulation, etc.)*:
Validation code: Captchapackage Image


Can't read the image? click here to refresh.
    *required field

Your bulk quote request has been submitted successfully!

Please contact us if you have any questions.