• Tel: 858.663.9055
  • SeparatorEmail: info@nsjbio.com
  • Tel: 858.663.9055
  • Email: info@nsjbio.com
Home >> Antibodies >> POT1 Antibody

POT1 Antibody (RQ5753)

  Catalog No Formulation Size Price (USD)  
Image RQ5753 0.5mg/ml if reconstituted with 0.2ml sterile DI water 100 ug 449
Bulk quote request
Flow cytometry testing of human U937 cells with POT1 antibody at 1ug/million cells (blocked with goat sera); Red=cells alone, Green=isotype control, Blue= POT1 antibody.
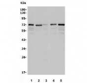
Western blot testing of 1) human HeLa, 2) human K562, 3) rat brain, 4) rat liver and 5) mouse Neuro-2a antibody. Predicted molecular weight ~71 kDa.
Availability 1-3 business days
Species Reactivity Human, Mouse, Rat
Format Antigen affinity purified
Host Rabbit
Clonality Polyclonal (rabbit origin)
Isotype Rabbit IgG
Purity Affinity purified
Buffer Lyophilized from 1X PBS with 2% Trehalose and 0.025% sodium azide
UniProt A0A0G2JX31
Applications Western Blot : 0.5-1ug/ml
Flow Cytometry : 1-3ug/million cells
Direct ELISA : 0.1-0.5ug/ml
Limitations This POT1 antibody is available for research use only.
Review this product on BioCompare and get a $20 Amazon gift card

Description

Protection of telomeres protein 1 is a protein that in humans is encoded by the POT1 gene. This gene is a member of the telombin family and encodes a nuclear protein involved in telomere maintenance. Specifically, this protein functions as a member of a multi-protein complex that binds to the TTAGGG repeats of telomeres, regulating telomere length and protecting chromosome ends from illegitimate recombination, catastrophic chromosome instability, and abnormal chromosome segregation. Increased transcriptional expression of this gene is associated with stomach carcinogenesis and its progression. Alternatively spliced transcript variants have been described.

Application Notes

Optimal dilution of the POT1 antibody should be determined by the researcher.

Immunogen

Recombinant rat protein (amino acids N15-V638) was used as the immunogen for the POT1 antibody.

Storage

After reconstitution, the POT1 antibody can be stored for up to one month at 4oC. For long-term, aliquot and store at -20oC. Avoid repeated freezing and thawing.

Cross
Bulk Quote Request Form
Name*:
Organization*:
Email*:
Phone Number*:
Catalog No.*:
Comments and Specifics(amount, formulation, etc.)*:
Validation code: Captchapackage Image


Can't read the image? click here to refresh.
    *required field

Your bulk quote request has been submitted successfully!

Please contact us if you have any questions.