• Tel: 858.663.9055
  • SeparatorEmail: info@nsjbio.com
  • Tel: 858.663.9055
  • Email: info@nsjbio.com
Home >> Antibodies >> Polycystin 2 Antibody

Polycystin 2 Antibody (RQ5595)

  Catalog No Formulation Size Price (USD)  
Image RQ5595 0.5mg/ml if reconstituted with 0.2ml sterile DI water 100 ug 449
Bulk quote request
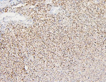
IHC staining of FFPE human renal cancer with Polycystin 2 antibody. HIER: boil tissue sections in pH6, 10mM citrate buffer, for 20 min and allow to cool before testing.
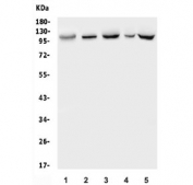
Western blot testing of 1) human U-87 MG, 2) rat spleen, 3) mouse thymus, 4) mouse lung and 5) mouse SP2/0 lysate with Polycystin 2 antibody. Predicted molecular weight: ~110 kDa.
Flow cytometry testing of fixed and permeabilized human A549 cells with Polycystin 2 antibody at 1ug/million cells (blocked with goat sera); Red=cells alone, Green=isotype control, Blue= Polycystin 2 antibody.
Availability 1-3 business days
Species Reactivity Human, Mouse, Rat
Format Antigen affinity purified
Host Rabbit
Clonality Polyclonal (rabbit origin)
Isotype Rabbit IgG
Purity Affinity purified
Buffer Lyophilized from 1X PBS with 2% Trehalose and 0.025% sodium azide
UniProt Q13563
Applications Western Blot : 0.25-0.5ug/ml
Immunohistochemistry (FFPE) : 1-2ug/ml
Flow Cytometry : 1-3ug/million cells
Direct ELISA : 0.1-0.5ug/ml
Limitations This Polycystin 2 antibody is available for research use only.
Review this product on BioCompare and get a $20 Amazon gift card

Related Products

  • Applications : WB, ELISA (peptide)
    Reactivity : Human
    Pred. Reactivity : Cow, Mouse, Rat

Description

Polycystin-2 is a protein that in humans is encoded by the PKD2 gene. It is mapped to 4q22.1. This gene encodes a member of the polycystin protein family. The encoded protein is a multi-pass membrane protein that functions as a calcium permeable cation channel, and is involved in calcium transport and calcium signaling in renal epithelial cells. This protein interacts with polycystin 1, and they may be partners in a common signaling cascade involved in tubular morphogenesis. Mutations in this gene are associated with autosomal dominant polycystic kidney disease type 2.

Application Notes

Optimal dilution of the Polycystin 2 antibody should be determined by the researcher.

Immunogen

A human recombinant protein (amino acids S829-R893) was used as the immunogen for the Polycystin 2 antibody.

Storage

After reconstitution, the Polycystin 2 antibody can be stored for up to one month at 4oC. For long-term, aliquot and store at -20oC. Avoid repeated freezing and thawing.

Cross
Bulk Quote Request Form
Name*:
Organization*:
Email*:
Phone Number*:
Catalog No.*:
Comments and Specifics(amount, formulation, etc.)*:
Validation code: Captchapackage Image


Can't read the image? click here to refresh.
    *required field

Your bulk quote request has been submitted successfully!

Please contact us if you have any questions.