• Tel: 858.663.9055
  • SeparatorEmail: info@nsjbio.com
  • Tel: 858.663.9055
  • Email: info@nsjbio.com
Home >> Antibodies >> Polo-like kinase 2 Antibody / PLK2 / SNK

Polo-like kinase 2 Antibody / PLK2 / SNK (F54916)

  Catalog No Formulation Size Price (USD)  
Image F54916-0.4ML In 1X PBS, pH 7.4, with 0.09% sodium azide 0.4 ml 439
Image
F54916-0.08ML In 1X PBS, pH 7.4, with 0.09% sodium azide 0.08 ml 205
Bulk quote request
Western blot testing of human 1) 293T/17 and 2) HeLa cell lysate with Polo-like kinase 2 antibody. Predicted molecular weight ~78 kDa.
Western blot testing of human 1) Jurkat and 2) CCRF-CEM cell lysate with Polo-like kinase 2 antibody. Predicted molecular weight ~78 kDa.
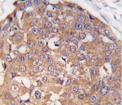
IHC testing of FFPE human breast carcinoma tissue with Polo-like kinase 2 antibody. HIER: steam section in pH6 citrate buffer for 20 min and allow to cool prior to staining.
Availability 1-3 business days
Species Reactivity Human
Format Purified
Host Rabbit
Clonality Polyclonal (rabbit origin)
Isotype Rabbit Ig
Purity Antigen affinity purified
UniProt Q9NYY3
Localization Cytoplasmic, nuclear
Applications Western Blot : 1:500-1:1000
Immunohistochemistry (FFPE) : 1:50-1:100
Limitations This Polo-like kinase 2 antibody is available for research use only.
Review this product on BioCompare and get a $20 Amazon gift card

Related Products

Description

Plks (polo-like kinases) encode serine/threonine kinases that are closely related to polo and CDC5, genes that are required for passage through mitosis in Drosophila and Saccharomyces, respectively. Polo-like kinases, which include Plk, Snk (for serum-inducible kinase, also designated Plk2) and Fnk (for FGF-inducible kinase, also designated Plk3 or PRK), play a role in cell proliferation. Plk protein accumulates in the cell during S and G2 phases of the cell cycle, and both protein content and catalytic activity peak at the onset of mitosis, followed by a rapid reduction after mitosis. Snk and Fnk are immediate-early response genes that are first expressed during G1 phase. SNK may play a role in the division of at least some cell types, such as fibroblasts, and could function in embryogenesis, wound healing or neoplasia SNK mRNA is rapidly induced in human lung fibroblasts upon reintroduction of serum following 36 hours of serum deprivation.

Application Notes

The stated application concentrations are suggested starting points. Titration of the Polo-like kinase 2 antibody may be required due to differences in protocols and secondary/substrate sensitivity.

Immunogen

A portion of amino acids 375-406 from the human protein was used as the immunogen for the Polo-like kinase 2 antibody.

Storage

Aliquot the Polo-like kinase 2 antibody and store frozen at -20oC or colder. Avoid repeated freeze-thaw cycles.

Cross
Bulk Quote Request Form
Name*:
Organization*:
Email*:
Phone Number*:
Catalog No.*:
Comments and Specifics(amount, formulation, etc.)*:
Validation code: Captchapackage Image


Can't read the image? click here to refresh.
    *required field

Your bulk quote request has been submitted successfully!

Please contact us if you have any questions.